• Tel: 858.663.9055
  • SeparatorEmail: info@nsjbio.com
  • Tel: 858.663.9055
  • Email: info@nsjbio.com
Home >> Antibodies >> GATA3 Antibody

GATA3 Antibody (RQ5683)

  Catalog No Formulation Size Price (USD)  
Image RQ5683 0.5mg/ml if reconstituted with 0.2ml sterile DI water 100 ug 439
Bulk quote request
Immunofluorescent staining of FFPE human HeLa cells with GATA3 antibody (green) and DAPI nuclear stain (blue). HIER: steam section in pH6 citrate buffer for 20 min.
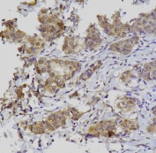
IHC staining of FFPE human breast cancer with GATA3 antibody. HIER: boil tissue sections in pH8 EDTA for 20 min and allow to cool before testing.
Western blot testing of human Jurkat lysate with GATA3 antibody. Predicted molecular weight ~50 kDa.
Flow cytometry testing of human 293T cells with GATA3 antibody at 1ug/million cells (blocked with goat sera); Red=cells alone, Green=isotype control, Blue= GATA3 antibody.
Availability 1-3 business days
Species Reactivity Human
Format Antigen affinity purified
Clonality Polyclonal
Isotype Rabbit IgG
Purity Affinity purified
Buffer Lyophilized from 1X PBS with 2% Trehalose and 0.025% sodium azide
UniProt P23771
Localization Nuclear
Applications Western Blot : 0.5-1ug/ml
Immunohistochemistry : 1-2ug/ml
Immunofluorescence : 2-4ug/ml
Flow Cytometry : 1-3ug/million cells
Limitations This GATA3 antibody is available for research use only.
Review this product on BioCompare and get a $20 Amazon gift card

Related Products

Description

Trans-acting T-cell-specific transcription factor GATA-3, also named HDR or GATA3, is a protein that in humans is encoded by the GATA3 gene. It is mapped to 10p14. This gene belongs to the GATA family of transcription factors. It regulates luminal epithelial cell differentiation in the mammary gland. The protein contains two GATA-type zinc fingers, it is an important regulator of T cell development and plays an important role in endothelial cell biology. GATA3 has been shown to promote the secretion of IL-4, IL-5, and IL-13 from Th2 cells, and induces the differentiation of Th0 cells towards this T cell subtype while suppressing their differentiation towards Th1 cells.

Application Notes

Optimal dilution of the GATA3 antibody should be determined by the researcher.

Immunogen

Amino acids HSYMDAAQYPLPEEVDVLFNID from the human protein were used as the immunogen for the GATA3 antibody.

Storage

After reconstitution, the GATA3 antibody can be stored for up to one month at 4oC. For long-term, aliquot and store at -20oC. Avoid repeated freezing and thawing.

Cross
Bulk Quote Request Form
Name*:
Organization*:
Email*:
Phone Number*:
Catalog No.*:
Comments and Specifics(amount, formulation, etc.)*:
Validation code: Captchapackage Image


Can't read the image? click here to refresh.
    *required field

Your bulk quote request has been submitted successfully!

Please contact us if you have any questions.