• Tel: 858.663.9055
  • SeparatorEmail: info@nsjbio.com
  • Tel: 858.663.9055
  • Email: info@nsjbio.com
Home >> Antibodies >> GATA3 Antibody

GATA3 Antibody [clone GATA3/2446] (V7481)

  Catalog No Formulation Size Price (USD)  
Image V7481-100UG 0.2 mg/ml in 1X PBS with 0.1 mg/ml BSA (US sourced) and 0.05% sodium azide 100 ug 539
Image
V7481-20UG 0.2 mg/ml in 1X PBS with 0.1 mg/ml BSA (US sourced) and 0.05% sodium azide 20 ug 249
Image
V7481SAF-100UG 1 mg/ml in 1X PBS; BSA free, sodium azide free 100 ug 539
Bulk quote request
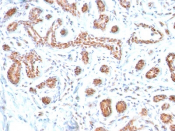
IHC testing of FFPE human breast carcinoma with GATA3 antibody. Required HIER: boil tissue sections in 10mM citrate buffer, pH 6, for 10-20 min and allow to cool prior to testing.
SDS-PAGE analysis of purified, BSA-free GATA3 antibody as confirmation of integrity and purity.
Availability 1-3 business days
Species Reactivity Human
Format Purified
Clonality Monoclonal (mouse origin)
Isotype Mouse IgG2b, kappa
Clone Name GATA3/2446
Purity Protein G affinity chromatography
UniProt P23771
Localization Nuclear
Applications ELISA (order BSA/sodium Azide-free Format For Coating) :
Flow Cytometry : 1-2ug/10^6 cells
Western Blot : 0.5-1ug/ml
Limitations This GATA3 antibody is available for research use only.
Review this product on BioCompare and get a $20 Amazon gift card

Related Products

Description

GATA3 is a zinc finger transcription factor and plays an important role in promoting and directing cell proliferation, development, and differentiation in many tissues and cell types. GATA3 expression is primarily seen in breast and urothelial carcinomas. Therefore, GATA3 antibody can be useful in the identification of unknown primary carcinoma when carcinomas of the breast or bladder are a possibility.

Application Notes

Optimal dilution of the GATA3 antibody should be determined by the researcher.

1. The prediluted format is supplied in a dropper bottle and is optimized for use in IHC. After epitope retrieval step (if required), drip mAb solution onto the tissue section and incubate at RT for 30 min.

Immunogen

A portion of amino acids 357-463 from the human protein were used as the immunogen for this GATA3 antibody.

Storage

Store the GATA3 antibody at 2-8oC (with azide) or aliquot and store at -20oC or colder (without azide).

Cross
Bulk Quote Request Form
Name*:
Organization*:
Email*:
Phone Number*:
Catalog No.*:
Comments and Specifics(amount, formulation, etc.)*:
Validation code: Captchapackage Image


Can't read the image? click here to refresh.
    *required field

Your bulk quote request has been submitted successfully!

Please contact us if you have any questions.