• Tel: 858.663.9055
  • SeparatorEmail: info@nsjbio.com
  • Tel: 858.663.9055
  • Email: info@nsjbio.com
Home >> Antibodies >> GATA1 Antibody

GATA1 Antibody [clone ABCB-7] (RQ5460)

  Catalog No Formulation Size Price (USD)  
Image RQ5460 Antibody in PBS with 0.02% sodium azide, 50% glycerol and 0.4-0.5mg/ml BSA 100 ul 439
Microvalidated Rab Mono Image
Bulk quote request
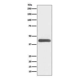
Western blot testing of human K562 cell lysate with GATA1 antibody. Predicted molecular weight ~43 kDa.
Availability 1-2 weeks
Species Reactivity Human
Format Purified
Clonality Rabbit Monoclonal
Isotype Rabbit IgG
Clone Name ABCB-7
Purity Affinity purified
UniProt P15976
Applications Western Blot : 1:500-1:2000
Limitations This GATA1 antibody is available for research use only.
Review this product on BioCompare and get a $20 Amazon gift card

Related Products

  • Applications : WB, ELISA (peptide)
    Reactivity : Human
    Pred. Reactivity : Mouse, Rat, Dog, Cow
  • Applications : WB, FACS, Direct ELISA
    Reactivity : Human
  • Applications : WB, IHC-P, FACS, Direct ELISA
    Reactivity : Human, Mouse

Description

The GATA1 gene encodes a protein which belongs to the GATA family of transcription factors. The protein plays an important role in erythroid development by regulating the switch of fetal hemoglobin to adult hemoglobin. Mutations in this gene have been associated with X-linked dyserythropoietic anemia and thrombocytopenia. [RefSeq]

Application Notes

Optimal dilution of the GATA1 antibody should be determined by the researcher.

Immunogen

A synthetic peptide specific to human GATA1 was used as the immunogen for the GATA1 antibody.

Storage

Store the GATA1 antibody at -20oC.

Cross
Bulk Quote Request Form
Name*:
Organization*:
Email*:
Phone Number*:
Catalog No.*:
Comments and Specifics(amount, formulation, etc.)*:
Validation code: Captchapackage Image


Can't read the image? click here to refresh.
    *required field

Your bulk quote request has been submitted successfully!

Please contact us if you have any questions.