• Tel: 858.663.9055
  • SeparatorEmail: info@nsjbio.com
  • Tel: 858.663.9055
  • Email: info@nsjbio.com
Home >> Antibodies >> GARP Antibody

GARP Antibody (F49757)

  Catalog No Formulation Size Price (USD)  
Image F49757-0.4ML In 1X PBS, pH 7.4, with 0.09% sodium azide 0.4 ml 429
Image
F49757-0.08ML In 1X PBS, pH 7.4, with 0.09% sodium azide 0.08 ml 199
Bulk quote request
Western blot analysis of GARP antibody and CEM lysate.
Western blot analysis of GARP antibody and mouse cerebellum tissue lysate
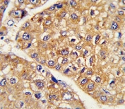
IHC analysis of FFPE human hepatocarcinoma stained with GARP antibody
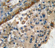
IHC analysis of FFPE human lung carcinoma stained with GARP antibody
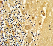
IHC analysis of FFPE human cerebellum stained with GARP antibody
Availability 1-3 business days
Species Reactivity Human, Mouse
Format Purified
Clonality Polyclonal (rabbit origin)
Isotype Rabbit Ig
Purity Purified
UniProt Q14392
Applications Western Blot : 1:1000
IHC (Paraffin) : 1:10-1:50
Limitations This GARP antibody is available for research use only.
Review this product on BioCompare and get a $20 Amazon gift card

Description

GARP is a type I membrane protein which contains 20 leucine-rich repeats.

Application Notes

Titration of the GARP antibody may be required due to differences in protocols and secondary/substrate sensitivity.

Immunogen

A portion of amino acids 234-260 from the human protein was used as the immunogen for this GARP antibody.

Storage

Aliquot the GARP antibody and store frozen at -20oC or colder. Avoid repeated freeze-thaw cycles.

Cross
Bulk Quote Request Form
Name*:
Organization*:
Email*:
Phone Number*:
Catalog No.*:
Comments and Specifics(amount, formulation, etc.)*:
Validation code: Captchapackage Image


Can't read the image? click here to refresh.
    *required field

Your bulk quote request has been submitted successfully!

Please contact us if you have any questions.