• Tel: 858.663.9055
  • SeparatorEmail: info@nsjbio.com
  • Tel: 858.663.9055
  • Email: info@nsjbio.com
Home >> Antibodies >> GALT Antibody / Galactose-1-phosphate uridyltransferase

GALT Antibody / Galactose-1-phosphate uridyltransferase (RQ4086)

  Catalog No Formulation Size Price (USD)  
Image RQ4086 0.5mg/ml if reconstituted with 0.2ml sterile DI water 100 ug 439
Bulk quote request
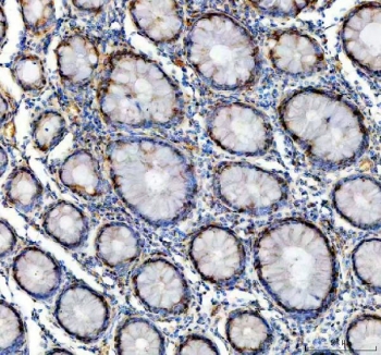
IHC staining of FFPE human colon cancer tissue with GALT antibody. HIER: boil tissue sections in pH8 EDTA for 20 min and allow to cool before testing.
Western blot testing of 1) human ThP-1, 2) human HepG2, 3) human HeLa, 4) rat lung abd 5) rat kidney tissue lysate with GALT antibody. Predicted molecular weight ~43 kDa.
Immunoprecipitation of GALT protein from 500ug of human ThP-1 whole cell lysate with 2ug of GALT antibody.
Flow cytometry testing of fixed and permeabilized human HepG2 cells with GALT antibody at 1ug/million cells (blocked with goat sera); Red=cells alone, Green=isotype control, Blue= GALT antibody.
Availability 1-3 business days
Species Reactivity Human, Rat
Format Antigen affinity purified
Clonality Polyclonal (rabbit origin)
Isotype Rabbit IgG
Purity Antigen affinity purified
Buffer Lyophilized from 1X PBS with 2% Trehalose
UniProt P07902
Applications Western Blot : 0.5-1ug/ml
Immunohistochemistry (FFPE) : 2-5ug/ml
Immunoprecipitation : 2ug/500ug of lysate
Flow Cytometry : 1-3ug/million cells
Direct ELISA : 0.1-0.5ug/ml
Limitations This GALT antibody is available for research use only.
Review this product on BioCompare and get a $20 Amazon gift card

Related Products

Description

Galactose-1-phosphate uridyl transferase (GALT) catalyzes the second step of the Leloir pathway of galactose metabolism, namely the conversion of UDP-glucose + galactose-1-phosphate to glucose-1-phosphate + UDP-galactose. The absence of this enzyme results in classic galactosemia in humans and can be fatal in the newborn period if lactose is not removed from the diet. The pathophysiology of galactosemia has not been clearly defined. Two transcript variants encoding different isoforms have been found for this gene.

Application Notes

Optimal dilution of the GALT antibody should be determined by the researcher.

Immunogen

A recombinant human partial protein corresponding to amino acids Q188-A379 was used as the immunogen for the GALT antibody.

Storage

After reconstitution, the GALT antibody can be stored for up to one month at 4oC. For long-term, aliquot and store at -20oC. Avoid repeated freezing and thawing.

Cross
Bulk Quote Request Form
Name*:
Organization*:
Email*:
Phone Number*:
Catalog No.*:
Comments and Specifics(amount, formulation, etc.)*:
Validation code: Captchapackage Image


Can't read the image? click here to refresh.
    *required field

Your bulk quote request has been submitted successfully!

Please contact us if you have any questions.