• Tel: 858.663.9055
  • SeparatorEmail: info@nsjbio.com
  • Tel: 858.663.9055
  • Email: info@nsjbio.com
Home >> Antibodies >> GALR3 Antibody

GALR3 Antibody (R35279)

  Catalog No Formulation Size Price (USD)  
Image R35279-100UG 0.5 mg/ml in 1X TBS, pH7.3, with 0.5% BSA (US sourced) and 0.02% sodium azide 100 ug 449
Bulk quote request
Western blot testing of human skin lysate with GALR3 antibody at 2ug/ml. Predicted molecular weight ~39kDa.
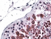
IHC staining of FFPE human testis with GALR3 antibody at 3.8ug/ml. HIER: steamed with pH6 citrate buffer, AP-staining.
Availability 1-3 business days
Species Reactivity Human
Format Antigen affinity purified
Clonality Polyclonal (goat origin)
Isotype Goat Ig
Purity Antigen affinity
Gene ID 8484
Applications Western Blot : 1-3ug/ml
Immunohistochemistry (FFPE) : 4-6ug/ml
ELISA (peptide) LOD : 1:32000
Limitations This GALR3 antibody is available for research use only.
Review this product on BioCompare and get a $20 Amazon gift card

Description

Additional name(s) for this target protein: Galanin Receptor 3

Application Notes

Optimal dilution of the GALR3 antibody should be determined by the researcher.

Immunogen

Amino acids QGPEPREGPVHGGE were used as the immunogen for this GALR3 antibody.

Storage

Aliquot and store the GALR3 antibody at -20oC.

Cross
Bulk Quote Request Form
Name*:
Organization*:
Email*:
Phone Number*:
Catalog No.*:
Comments and Specifics(amount, formulation, etc.)*:
Validation code: Captchapackage Image


Can't read the image? click here to refresh.
    *required field

Your bulk quote request has been submitted successfully!

Please contact us if you have any questions.