• Tel: 858.663.9055
  • SeparatorEmail: info@nsjbio.com
  • Tel: 858.663.9055
  • Email: info@nsjbio.com
Home >> Antibodies >> Galectin 1 Antibody

Galectin 1 Antibody (R32842)

  Catalog No Formulation Size Price (USD)  
Image R32842 0.5mg/ml if reconstituted with 0.2ml sterile DI water 100 ug 439
Bulk quote request
Western blot testing of 1) rat stomach, 2) rat ovary, 3) rat testis, 4) mouse kidney and 5) human HeLa lysate with Galectin 1 antibody at 0.5ug/ml. Predicted molecular weight ~15 kDa.
IHC testing of FFPE mouse small intestine tissue with Galectin 1 antibody at 1ug/ml. Required HIER: steam section in pH6 citrate buffer for 20 min and allow to cool prior to testing.
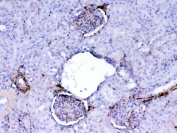
IHC testing of FFPE mouse kidney tissue with Galectin 1 antibody at 1ug/ml. Required HIER: steam section in pH6 citrate buffer for 20 min and allow to cool prior to testing.
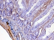
IHC testing of FFPE rat small intestine tissue with Galectin 1 antibody at 1ug/ml. Required HIER: steam section in pH6 citrate buffer for 20 min and allow to cool prior to testing.
IHC testing of FFPE rat kidney tissue with Galectin 1 antibody at 1ug/ml. Required HIER: steam section in pH6 citrate buffer for 20 min and allow to cool prior to testing.
Availability 1-3 business days
Species Reactivity Human, Mouse, Rat
Format Antigen affinity purified
Clonality Polyclonal (rabbit origin)
Isotype Rabbit IgG
Purity Antigen affinity
Buffer Lyophilized from 1X PBS with 2.5% BSA, 0.025% sodium azide
UniProt P11762
Localization Cytoplasmic, secreted
Applications Western Blot : 0.5-1ug/ml
IHC (FFPE) : 1-2ug/ml
ELISA (Capture; Rat Recombinant Protein) : 0.1-0.5ug/ml (BSA-free format available)
Limitations This Galectin 1 antibody is available for research use only.
Review this product on BioCompare and get a $20 Amazon gift card

Related Products

Description

Galectin-1 is a protein that in humans is encoded by the LGALS1 gene. The galectins are a family of beta-galactoside-binding proteins implicated in modulating cell-cell and cell-matrix interactions. Galectin-1 may act as an autocrine negative growth factor that regulates cell proliferation. Galectin-1 expression in Hodgkin Lymphoma has also been shown to mediate immunosuppression of CD8+ T-cells. It is thought to play a role in creating immune tolerance in pregnancy. It has been found that Galectin-1-mediated production of IL6 may assist in augmenting the innate immune response against NiV. Galectin-1 may also be a significant factor that augments the efficiency of the HIV-1 infection process.

Application Notes

Optimal dilution of the Galectin 1 antibody should be determined by the researcher.

Immunogen

A recombinant rat protein corresponding to amino acids A2-E135 was used as the immunogen for the Galectin 1 antibody.

Storage

After reconstitution, the Galectin 1 antibody can be stored for up to one month at 4oC. For long-term, aliquot and store at -20oC. Avoid repeated freezing and thawing.

Cross
Bulk Quote Request Form
Name*:
Organization*:
Email*:
Phone Number*:
Catalog No.*:
Comments and Specifics(amount, formulation, etc.)*:
Validation code: Captchapackage Image


Can't read the image? click here to refresh.
    *required field

Your bulk quote request has been submitted successfully!

Please contact us if you have any questions.