• Tel: 858.663.9055
  • SeparatorEmail: info@nsjbio.com
  • Tel: 858.663.9055
  • Email: info@nsjbio.com
Home >> Antibodies >> Galactose-1-phosphate uridylyltransferase Antibody / GALT

Galactose-1-phosphate uridylyltransferase Antibody / GALT (F54894)

  Catalog No Formulation Size Price (USD)  
Image F54894-0.4ML In 1X PBS, pH 7.4, with 0.09% sodium azide 0.4 ml 429
Image
F54894-0.08ML In 1X PBS, pH 7.4, with 0.09% sodium azide 0.08 ml 199
Bulk quote request
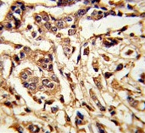
IHC testing of FFPE human breast carcinoma tissue with Galactose-1-phosphate uridylyltransferase antibody. HIER: steam section in pH6 citrate buffer for 20 min and allow to cool prior to staining.
Flow cytometry testing of human MDA-MB-468 cells with Galactose-1-phosphate uridylyltransferase antibody; Blue=isotype control, Green= Galactose-1-phosphate uridylyltransferase antibody.
Western blot testing of human HepG2 cell lysate with Galactose-1-phosphate uridylyltransferase antibody. Predicted molecular weight ~43 kDa.
Western blot testing of human MDA-MB-231 cell lysate with Galactose-1-phosphate uridylyltransferase antibody. Predicted molecular weight ~43 kDa.
Availability 1-3 business days
Species Reactivity Human
Format Purified
Clonality Polyclonal (rabbit origin)
Isotype Rabbit Ig
Purity Antigen affinity purified
UniProt P07902
Localization Cytoplasmic
Applications Flow Cytometry : 1:10-1:50 (1x10e6 cells)
Immunohistochemistry (FFPE) : 1:50-1:100
Western Blot : 1:500-1:1000
Limitations This Galactose-1-phosphate uridylyltransferase antibody is available for research use only.
Review this product on BioCompare and get a $20 Amazon gift card

Related Products

Description

Galactose-1-phosphate uridyl transferase (GALT) catalyzes the second step of the Leloir pathway of galactose metabolism, namely the conversion of UDP-glucose + galactose-1-phosphate to glucose-1-phosphate + UDP-galactose. The absence of this enzyme results in classic galactosemia in humans and can be fatal in the newborn period if lactose is not removed from the diet.

Application Notes

The stated application concentrations are suggested starting points. Titration of the Galactose-1-phosphate uridylyltransferase antibody may be required due to differences in protocols and secondary/substrate sensitivity.

Immunogen

A portion of amino acids 344-373 from the human protein was used as the immunogen for the Galactose-1-phosphate uridylyltransferase antibody.

Storage

Aliquot the Galactose-1-phosphate uridylyltransferase antibody and store frozen at -20oC or colder. Avoid repeated freeze-thaw cycles.

Cross
Bulk Quote Request Form
Name*:
Organization*:
Email*:
Phone Number*:
Catalog No.*:
Comments and Specifics(amount, formulation, etc.)*:
Validation code: Captchapackage Image


Can't read the image? click here to refresh.
    *required field

Your bulk quote request has been submitted successfully!

Please contact us if you have any questions.