• Tel: 858.663.9055
  • SeparatorEmail: info@nsjbio.com
  • Tel: 858.663.9055
  • Email: info@nsjbio.com
Home >> Antibodies >> GAD67 Antibody

GAD67 Antibody (R34982)

  Catalog No Formulation Size Price (USD)  
Image R34982-100UG 0.5 mg/ml in 1X TBS, pH7.3, with 0.5% BSA (US sourced) and 0.02% sodium azide 100 ug 449
Bulk quote request
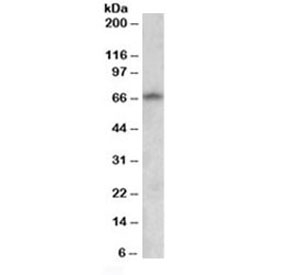
Western blot testing of human brain (cerebral cortex) lysate with GAD67 antibody at 0.5ug/ml. Predicted molecular weight ~67 kDa.
Availability 1-3 business days
Species Reactivity Human
Predicted Reactivity Mouse, Rat, Dog, Pig, Cow
Format Antigen affinity purified
Clonality Polyclonal (goat origin)
Isotype Goat Ig
Purity Antigen affinity
Gene ID 2571
Applications Western Blot : 0.5-1.5ug/ml
ELISA (peptide) LOD : 1:32000
Limitations This GAD67 antibody is available for research use only.
Review this product on BioCompare and get a $20 Amazon gift card

Related Products

  • Applications : ELISA, WB, IHC-P
    Reactivity : Human
    Microvalidated
  • Applications : ELISA, FACS, WB
    Reactivity : Human
    Microvalidated
  • Applications : WB
    Reactivity : Human, Rat
  • Applications : WB, ELISA (peptide)
    Reactivity : Human, Mouse
    Pred. Reactivity : Cow, Dog, Pig, Rat

Description

Additional name(s) for this target protein: Glutamate decarboxylase 1 (brain, 67kDa), GAD, GAD1

Application Notes

Optimal dilution of the GAD67 antibody should be determined by the researcher.

1. This GAD67 antibody will not cross react with GAD2.

Immunogen

Amino acids PDSPQRREKLHK were used as the immunogen for this GAD67 antibody.

Storage

Aliquot and store the GAD67 antibody at -20oC.

Cross
Bulk Quote Request Form
Name*:
Organization*:
Email*:
Phone Number*:
Catalog No.*:
Comments and Specifics(amount, formulation, etc.)*:
Validation code: Captchapackage Image


Can't read the image? click here to refresh.
    *required field

Your bulk quote request has been submitted successfully!

Please contact us if you have any questions.