• Tel: 858.663.9055
  • SeparatorEmail: info@nsjbio.com
  • Tel: 858.663.9055
  • Email: info@nsjbio.com
Home >> Antibodies >> GABARAPL2 Antibody / Gamma-aminobutyric acid receptor-associated protein-like 2

GABARAPL2 Antibody / Gamma-aminobutyric acid receptor-associated protein-like 2 [clone 17G90] (RQ8893)

  Catalog No Formulation Size Price (USD)  
Image RQ8893 Antibody in PBS with 0.02% sodium azide, 50% glycerol and 0.4-0.5mg/ml BSA 100 ul 439
Microvalidated Recrabbitmono
Bulk quote request
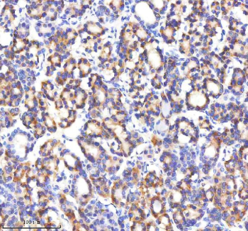
IHC staining of FFPE human thyroid cancer tissue with GABARAPL2 antibody, HRP-secondary and DAB substrate. HIER: boil tissue sections in pH8 EDTA for 20 min and allow to cool before testing.
IHC staining of FFPE human liver cancer tissue with GABARAPL2 antibody, HRP-secondary and DAB substrate. HIER: boil tissue sections in pH8 EDTA for 20 min and allow to cool before testing.
IHC staining of FFPE rat brain tissue with GABARAPL2 antibody, HRP-secondary and DAB substrate. HIER: boil tissue sections in pH8 EDTA for 20 min and allow to cool before testing.
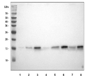
Western blot testing of 1) human HeLa, 2) human 293T, 3) human SiHa, 4) human MCF7, 5) rat spleen, 6) rat brain, 7) mouse spleen and 8) mouse brain tissue lysate with SHP2 antibody. Predicted molecular weight ~14 kDa.
Availability 1-3 days
Species Reactivity Human, Mouse, Rat
Format Purified
Clonality Recombinant Rabbit Monoclonal
Isotype Rabbit IgG
Clone Name 17G90
Purity Affinity chromatography
UniProt P60520
Localization Cytoplasm
Applications Western Blot : 1:500
Immunohistochemistry (FFPE) : 1:50
Limitations This GABARAPL2 antibody is available for research use only.
Review this product on BioCompare and get a $20 Amazon gift card

Description

Gamma-aminobutyric acid receptor-associated protein-like 2 (GABARAPL2) is a ubiquitin-like protein involved in autophagy, intracellular trafficking, and receptor transport. It plays a role in the expansion of autophagosomal membranes and the delivery of cargo to lysosomes for degradation. GABARAPL2 also participates in the regulation of GABA receptor trafficking, influencing synaptic transmission.

GABARAPL2 is expressed in various tissues and is linked to cellular processes such as protein turnover, stress responses, and immune regulation. Dysregulation of GABARAPL2 has been associated with neurological disorders, cancer, and other diseases involving impaired autophagy. Studying GABARAPL2 function helps elucidate the molecular mechanisms of protein homeostasis and membrane dynamics.

Using a high-quality GABARAPL2 antibody enables sensitive and specific detection in applications including western blot, immunohistochemistry, and immunofluorescence. A GABARAPL2 antibody from NSJ Bioreagents ensures reproducible results for studies focused on autophagy, protein trafficking, and neurobiology. Selecting the right GABARAPL2 antibody is essential for generating accurate and consistent data in both basic and applied research.

Application Notes

Optimal dilution of the GABARAPL2 antibody should be determined by the researcher.

Immunogen

A peptide sequence specific to Gamma-aminobutyric acid receptor-associated protein-like 2 was used as the immunogen for the GABARAPL2 antibody.

Storage

After reconstitution, the GABARAPL2 antibody can be stored for up to one month at 4oC. For long-term, aliquot and store at -20oC. Avoid repeated freezing and thawing.

Cross
Bulk Quote Request Form
Name*:
Organization*:
Email*:
Phone Number*:
Catalog No.*:
Comments and Specifics(amount, formulation, etc.)*:
Validation code: Captchapackage Image


Can't read the image? click here to refresh.
    *required field

Your bulk quote request has been submitted successfully!

Please contact us if you have any questions.