• Tel: 858.663.9055
  • SeparatorEmail: info@nsjbio.com
  • Tel: 858.663.9055
  • Email: info@nsjbio.com
Home >> Antibodies >> G6PD Antibody / Glucose-6-phosphate dehydrogenase

G6PD Antibody / Glucose-6-phosphate dehydrogenase [clone ABBI-7] (RQ5365)

  Catalog No Formulation Size Price (USD)  
Image RQ5365 Antibody in PBS with 0.02% sodium azide, 50% glycerol and 0.4-0.5mg/ml BSA 100 ul 439
Microvalidated Rab Mono Image
Bulk quote request
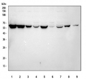
Western blot testing of human MCF7 cell lysate with G6PD antibody. Predicted molecular weight ~59 kDa.
Availability 1-2 weeks
Species Reactivity Human
Format Purified
Clonality Rabbit Monoclonal
Isotype Rabbit IgG
Clone Name ABBI-7
Purity Affinity purified
UniProt P11413
Applications Western Blot : 1:500-1:2000
Limitations This G6PD antibody is available for research use only.
Review this product on BioCompare and get a $20 Amazon gift card

Related Products

Description

The G6PD gene encodes glucose-6-phosphate dehydrogenase. This protein is a cytosolic enzyme encoded by a housekeeping X-linked gene whose main function is to produce NADPH, a key electron donor in the defense against oxidizing agents and in reductive biosynthetic reactions. G6PD is remarkable for its genetic diversity. Many variants of G6PD, mostly produced from missense mutations, have been described with wide ranging levels of enzyme activity and associated clinical symptoms. G6PD deficiency may cause neonatal jaundice, acute hemolysis, or severe chronic non-spherocytic hemolytic anemia. Two transcript variants encoding different isoforms have been found for this gene. [RefSeq]

Application Notes

Optimal dilution of the G6PD antibody should be determined by the researcher.

Immunogen

A synthetic peptide specific to human Glucose 6 Phosphate Dehydrogenase / G6PD was used as the immunogen for the G6PD antibody.

Storage

Store the G6PD antibody at -20oC.

Cross
Bulk Quote Request Form
Name*:
Organization*:
Email*:
Phone Number*:
Catalog No.*:
Comments and Specifics(amount, formulation, etc.)*:
Validation code: Captchapackage Image


Can't read the image? click here to refresh.
    *required field

Your bulk quote request has been submitted successfully!

Please contact us if you have any questions.