• Tel: 858.663.9055
  • SeparatorEmail: info@nsjbio.com
  • Tel: 858.663.9055
  • Email: info@nsjbio.com
Home >> Antibodies >> FZD4 Antibody

FZD4 Antibody (R34482)

  Catalog No Formulation Size Price (USD)  
Image R34482-100UG 0.5 mg/ml in 1X TBS, pH7.3, with 0.5% BSA (US sourced) and 0.02% sodium azide 100 ug 449
Bulk quote request
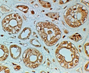
IHC testing of FFPE human kidney with FZD4 antibody at 2ug/ml. HIER: steamed with pH6 citrate buffer, HRP-staining.
Availability 1-3 business days
Species Reactivity Human
Predicted Reactivity Mouse, Rat
Format Antigen affinity purified
Clonality Polyclonal (goat origin)
Isotype Goat Ig
Purity Antigen affinity
Gene ID 8322
Applications Immunohistochemistry (FFPE) : 2-4ug/ml
ELISA (peptide) LOD : 1:32000
Limitations This FZD4 antibody is available for research use only.
Review this product on BioCompare and get a $20 Amazon gift card

Related Products

  • Applications : WB, ELISA (peptide)
    Reactivity : Human
    Pred. Reactivity : Rat
  • Applications : WB, IHC-P
    Reactivity : Human, Mouse, Rat

Description

Additional name(s) for this target protein: Frizzled 4

Application Notes

Optimal dilution of the FZD4 antibody should be determined by the researcher.

Immunogen

Amino acids KIRSNLQKDGTKT were used as the immunogen for this FZD4 antibody.

Storage

Aliquot and store the FZD4 antibody at -20oC.

Cross
Bulk Quote Request Form
Name*:
Organization*:
Email*:
Phone Number*:
Catalog No.*:
Comments and Specifics(amount, formulation, etc.)*:
Validation code: Captchapackage Image


Can't read the image? click here to refresh.
    *required field

Your bulk quote request has been submitted successfully!

Please contact us if you have any questions.