• Tel: 858.663.9055
  • SeparatorEmail: info@nsjbio.com
  • Tel: 858.663.9055
  • Email: info@nsjbio.com
Home >> Antibodies >> Fumarylacetoacetate hydrolase Antibody / FAH / FAA

Fumarylacetoacetate hydrolase Antibody / FAH / FAA (RQ7169)

  Catalog No Formulation Size Price (USD)  
Image RQ7169 0.5mg/ml if reconstituted with 0.2ml sterile DI water 100 ug 439
Bulk quote request
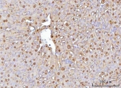
IHC staining of FFPE human liver cancer tissue with Fumarylacetoacetate hydrolase antibody. HIER: boil tissue sections in pH8 EDTA for 20 min and allow to cool before testing.
IHC staining of FFPE mouse liver tissue with Fumarylacetoacetate hydrolase antibody. HIER: boil tissue sections in pH8 EDTA for 20 min and allow to cool before testing.
IHC staining of FFPE rat liver tissue with Fumarylacetoacetate hydrolase antibody. HIER: boil tissue sections in pH8 EDTA for 20 min and allow to cool before testing.
Western blot testing of 1) human HCCP, 2) human HepG2, 3) rat liver, 4) rat kidney, 5) mouse liver and 6) mouse kidney tissue lysate with Fumarylacetoacetate hydrolase antibody. Predicted molecular weight: 39-46 kDa (two isoforms).
Flow cytometry testing of human PC-3 cells with Fumarylacetoacetate hydrolase antibody at 1ug/million cells (blocked with goat sera); Red=cells alone, Green=isotype control, Blue= Fumarylacetoacetate hydrolase antibody.
Availability 1-3 business days
Species Reactivity Human, Mouse, Rat
Format Antigen affinity purified
Clonality Polyclonal (rabbit origin)
Isotype Rabbit IgG
Purity Antigen affinity purified
Buffer Lyophilized from 1X PBS with 2% Trehalose
UniProt P16930
Localization Cytoplasmic, nuclear
Applications Western Blot : 0.5-1ug/ml
Immunohistochemistry (FFPE) : 2-5ug/ml
Flow Cytometry : 1-3ug/million cells
Direct ELISA : 0.1-0.5ug/ml
Limitations This Fumarylacetoacetate hydrolase antibody is available for research use only.
Review this product on BioCompare and get a $20 Amazon gift card

Description

Fumarylacetoacetase, also called FAA, Fumarylacetoacetate hydrolase and FAH, is an enzyme that in humans is encoded by the FAH gene located on chromosome 15. The FAH gene is thought to be involved in the catabolism of the amino acid phenylalanine in humans. This gene encodes the last enzyme in the tyrosine catabolism pathway. FAH deficiency is associated with Type 1 hereditary tyrosinemia (HT).

Application Notes

Optimal dilution of the Fumarylacetoacetate hydrolase antibody should be determined by the researcher.

Immunogen

Recombinant human protein (amino acids M1-P342) was used as the immunogen for the Fumarylacetoacetate hydrolase antibody.

Storage

After reconstitution, the Fumarylacetoacetate hydrolase antibody can be stored for up to one month at 4oC. For long-term, aliquot and store at -20oC. Avoid repeated freezing and thawing.

Cross
Bulk Quote Request Form
Name*:
Organization*:
Email*:
Phone Number*:
Catalog No.*:
Comments and Specifics(amount, formulation, etc.)*:
Validation code: Captchapackage Image


Can't read the image? click here to refresh.
    *required field

Your bulk quote request has been submitted successfully!

Please contact us if you have any questions.