• Tel: 858.663.9055
  • SeparatorEmail: info@nsjbio.com
  • Tel: 858.663.9055
  • Email: info@nsjbio.com
Home >> Antibodies >> FTO Antibody / Fat mass and obesity associated

FTO Antibody / Fat mass and obesity associated (RQ6483)

  Catalog No Formulation Size Price (USD)  
Image RQ6483 0.5mg/ml if reconstituted with 0.2ml sterile DI water 100 ug 439
Bulk quote request
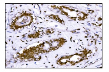
IHC staining of FFPE human breast cancer tissue with FTO antibody. HIER: boil tissue sections in pH8 EDTA for 20 min and allow to cool before testing.
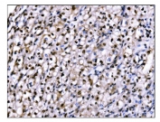
IHC staining of FFPE human renal clear cell carcinoma tissue with FTO antibody. HIER: boil tissue sections in pH8 EDTA for 20 min and allow to cool before testing.
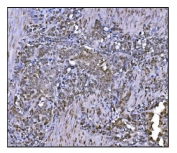
IHC staining of FFPE human gastric cancer tissue with FTO antibody. HIER: boil tissue sections in pH8 EDTA for 20 min and allow to cool before testing.
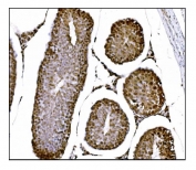
IHC staining of FFPE mouse testis tissue with FTO antibody. HIER: boil tissue sections in pH8 EDTA for 20 min and allow to cool before testing.
IHC staining of FFPE rat testis tissue with FTO antibody. HIER: boil tissue sections in pH8 EDTA for 20 min and allow to cool before testing.
Immunofluorescent staining of FFPE human SiHa cells with FTO antibody (green) and DAPI nuclear stain (blue). HIER: steam section in pH6 citrate buffer for 20 min.
Western blot testing of human 1) U-87 MG, 2) HEK293 and 3) HeLa cell lysate with FTO antibody. Predicted molecular weight ~58 kDa.
Flow cytometry testing of human A431 cells with FTO antibody at 1ug/million cells (blocked with goat sera); Red=cells alone, Green=isotype control, Blue= FTO antibody.
Availability 1-3 business days
Species Reactivity Human, Mouse, Rat
Format Antigen affinity purified
Clonality Polyclonal (rabbit origin)
Isotype Rabbit IgG
Purity Affinity purified
Buffer Lyophilized from 1X PBS with 2% Trehalose
UniProt Q9C0B1
Localization Cytoplasmic, nuclear
Applications Western Blot : 1-2ug/ml
Immunohistochemistry (FFPE) : 2-5ug/ml
Immunofluorescence : 5ug/ml
Flow Cytometry : 1-3ug/million cells
Direct ELISA : 0.1-0.5ug/ml
Limitations This FTO antibody is available for research use only.
Review this product on BioCompare and get a $20 Amazon gift card

Related Products

Description

Fat mass and obesity-associated protein also known as alpha-ketoglutarate-dependent dioxygenase FTO is an enzyme that in humans is encoded by the FTO gene located on chromosome 16. This gene is a nuclear protein of the AlkB related non-haem iron and 2-oxoglutarate-dependent oxygenase superfamily but the exact physiological function of this gene is not known. Other non-heme iron enzymes function to reverse alkylated DNA and RNA damage by oxidative demethylation. Studies in mice and humans indicate a role in nervous and cardiovascular systems and a strong association with body mass index, obesity risk, and type 2 diabetes.

Application Notes

Optimal dilution of the FTO antibody should be determined by the researcher.

Immunogen

An E. coli-derived human protein (amino acids D279-P505) was used as the immunogen for the FTO antibody.

Storage

After reconstitution, the FTO antibody can be stored for up to one month at 4oC. For long-term, aliquot and store at -20oC. Avoid repeated freezing and thawing.

Cross
Bulk Quote Request Form
Name*:
Organization*:
Email*:
Phone Number*:
Catalog No.*:
Comments and Specifics(amount, formulation, etc.)*:
Validation code: Captchapackage Image


Can't read the image? click here to refresh.
    *required field

Your bulk quote request has been submitted successfully!

Please contact us if you have any questions.