• Tel: 858.663.9055
  • SeparatorEmail: info@nsjbio.com
  • Tel: 858.663.9055
  • Email: info@nsjbio.com
Home >> Antibodies >> FPGS Antibody / Folylpolyglutamate synthase

FPGS Antibody / Folylpolyglutamate synthase (F54904)

  Catalog No Formulation Size Price (USD)  
Image F54904-0.4ML In 1X PBS, pH 7.4, with 0.09% sodium azide 0.4 ml 429
Image
F54904-0.08ML In 1X PBS, pH 7.4, with 0.09% sodium azide 0.08 ml 199
Bulk quote request
Western blot testing of human placental tissue with FPGS antibody. Predicted molecular weight ~65 kDa.
Western blot testing of human 1) K562 and 2) A2058 cell lysate with FPGS antibody. Predicted molecular weight ~65 kDa.
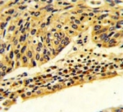
IHC testing of FFPE human lung carcinoma tissue with FPGS antibody. HIER: steam section in pH6 citrate buffer for 20 min and allow to cool prior to staining.
Flow cytometry testing of human K562 cells with FPGS antibody; Blue=isotype control, Green= FPGS antibody.
Availability 1-3 business days
Species Reactivity Human
Format Purified
Clonality Polyclonal (rabbit origin)
Isotype Rabbit Ig
Purity Antigen affinity purified
UniProt Q05932
Localization Cytoplasmic
Applications Flow Cytometry : 1:10-1:50 (1x10e6 cells)
Immunohistochemistry (FFPE) : 1:50-1:100
Western Blot : 1:500-1:1000
Limitations This FPGS antibody is available for research use only.
Review this product on BioCompare and get a $20 Amazon gift card

Related Products

Description

FPGS is the folylpolyglutamate synthetase enzyme. This enzyme has a central role in establishing and maintaining both cytosolic and mitochondrial folylpolyglutamate concentrations and, therefore, is essential for folate homeostasis and the survival of proliferating cells. This enzyme catalyzes the ATP-dependent addition of glutamate moieties to folate and folate derivatives.

Application Notes

The stated application concentrations are suggested starting points. Titration of the FPGS antibody may be required due to differences in protocols and secondary/substrate sensitivity.

Immunogen

A portion of amino acids 304-330 from the human protein was used as the immunogen for the FPGS antibody.

Storage

Aliquot the FPGS antibody and store frozen at -20oC or colder. Avoid repeated freeze-thaw cycles.

Cross
Bulk Quote Request Form
Name*:
Organization*:
Email*:
Phone Number*:
Catalog No.*:
Comments and Specifics(amount, formulation, etc.)*:
Validation code: Captchapackage Image


Can't read the image? click here to refresh.
    *required field

Your bulk quote request has been submitted successfully!

Please contact us if you have any questions.