• Tel: 858.663.9055
  • SeparatorEmail: info@nsjbio.com
  • Tel: 858.663.9055
  • Email: info@nsjbio.com
Home >> Antibodies >> FOXO3A Antibody

FOXO3A Antibody (R31609)

  Catalog No Formulation Size Price (USD)  
Image R31609 0.5mg/ml if reconstituted with 0.2ml sterile DI water 100 ug 439
Bulk quote request
Immunofluorescent staining of FFPE human U-2 OS cells with FOXO3A antibody (red) and Beta Tubulin mAb (green). HIER: steam section in pH6 citrate buffer for 20 min.
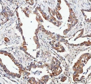
IHC staining of FFPE human pancreatic ductal adenocarcinoma tissue with FOXO3A antibody. HIER: boil tissue sections in pH8 EDTA for 20 min and allow to cool before testing.
IHC staining of FFPE human pancreatic ductal adenocarcinoma tissue with FOXO3A antibody. HIER: boil tissue sections in pH8 EDTA for 20 min and allow to cool before testing.
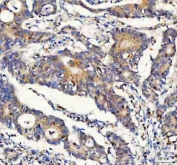
IHC staining of FFPE human colorectal adenocarcinoma tissue with FOXO3A antibody. HIER: boil tissue sections in pH8 EDTA for 20 min and allow to cool before testing.
Western blot testing of 1) human 293T, 2) human MCF7, 3) human Jurkat, 4) human HeLa, 5) rat lung and 6) rat ovary tissue lysate with FOXO3A antibody. Expected molecular weight: 71-90 kDa depending on glycosylation level.
Flow cytometry testing of human MCF7 cells with FOXO3A antibody at 1ug/million cells (blocked with goat sera); Red=cells alone, Green=isotype control, Blue= FOXO3A antibody.
Availability 1-3 business days
Species Reactivity Human, Rat
Format Antigen affinity purified
Clonality Polyclonal (rabbit origin)
Isotype Rabbit IgG
Purity Antigen affinity
Buffer Lyophilized from 1X PBS with 2% Trehalose
UniProt O43524
Localization Nuclear, cytoplasmic
Applications Western Blot : 1-2ug/ml
Immunohistochemistry (FFPE) : 2-5ug/ml
Immunofluorescence : 5ug/ml
Flow Cytometry : 1-3ug/million cells
Limitations This FOXO3A antibody is available for research use only.
Review this product on BioCompare and get a $20 Amazon gift card

Related Products

Description

Forkhead box O3, also known as FKHRL1 or FOXO3A, is a human protein encoded by the FOXO3 gene. FOXO3A belongs to the O subclass of the forkhead family of transcription factors which are characterized by a distinct fork head DNA-binding domain. It is mapped to 6q21. This protein likely functions as a trigger for apoptosis through upregulation of genes necessary for cell death, such as Bim and PUMA, or downregulation of anti-apoptotic proteins such as FLIP. In mammals FOXO3A regulates the resistance of cells to stress by inducing DNA repair and thereby may also affect organismal life span. In addition, it is thought that FOXO3A is also involved in protection from oxidative stress by upregulating antioxidants such as catalase and MnSOD.

Application Notes

The stated application concentrations are suggested starting amounts. Titration of the FOXO3A antibody may be required due to differences in protocols and secondary/substrate sensitivity.

Immunogen

Human partial recombinant protein (AA 471-673) was used as the immunogen for this FOXO3A antibody.

Storage

After reconstitution, the FOXO3A antibody can be stored for up to one month at 4oC. For long-term, aliquot and store at -20oC. Avoid repeated freezing and thawing.

Cross
Bulk Quote Request Form
Name*:
Organization*:
Email*:
Phone Number*:
Catalog No.*:
Comments and Specifics(amount, formulation, etc.)*:
Validation code: Captchapackage Image


Can't read the image? click here to refresh.
    *required field

Your bulk quote request has been submitted successfully!

Please contact us if you have any questions.