• Tel: 858.663.9055
  • SeparatorEmail: info@nsjbio.com
  • Tel: 858.663.9055
  • Email: info@nsjbio.com
Home >> Antibodies >> FOXO3A Antibody

FOXO3A Antibody [clone HFD-6] (RQ4741)

  Catalog No Formulation Size Price (USD)  
Image RQ4741 Antibody in PBS with 0.02% sodium azide, 50% glycerol and 0.4-0.5mg/ml BSA 100 ul 439
Microvalidated Rab Mono Image
Bulk quote request
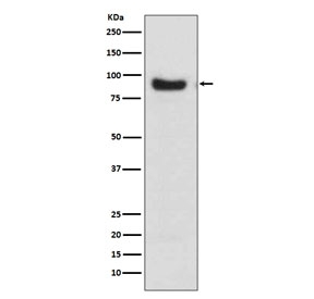
Western blot testing of human MCF-7 lysate with FOXO3A antibody. Expected molecular weight: 71-90 kDa depending on glycosylation level.
Availability 1-2 weeks
Species Reactivity Human, Mouse, Rat
Format Purified
Clonality Rabbit Monoclonal
Isotype Rabbit IgG
Clone Name HFD-6
Purity Affinity purified
UniProt O43524
Applications Western Blot : 1:1000-1:2000
Immunofluorescence/Immunocytochemistry : 1:50-1:200
Limitations This FOXO3A antibody is available for research use only.
Review this product on BioCompare and get a $20 Amazon gift card

Related Products

  • Applications : IHC-P, WB
    Reactivity : Human
    Rab Mono Image
  • Applications : WB
    Reactivity : Human
    Rab Mono Image
  • Applications : WB, IHC-P, IF, FACS
    Reactivity : Human, Rat
  • Applications : WB, ELISA (peptide)
    Reactivity : Human
  • Applications : WB, Direct ELISA
    Reactivity : Human

Description

This gene belongs to the forkhead family of transcription factors which are characterized by a distinct forkhead domain. This gene likely functions as a trigger for apoptosis through expression of genes necessary for cell death. Translocation of this gene with the MLL gene is associated with secondary acute leukemia. [RefSeq]

Application Notes

Optimal dilution of the FOXO3A antibody should be determined by the researcher.

Immunogen

A synthetic peptide specific to human FOXO3A was used as the immunogen for the FOXO3A antibody.

Storage

Store the FOXO3A antibody at -20oC.

Cross
Bulk Quote Request Form
Name*:
Organization*:
Email*:
Phone Number*:
Catalog No.*:
Comments and Specifics(amount, formulation, etc.)*:
Validation code: Captchapackage Image


Can't read the image? click here to refresh.
    *required field

Your bulk quote request has been submitted successfully!

Please contact us if you have any questions.