• Tel: 858.663.9055
  • SeparatorEmail: info@nsjbio.com
  • Tel: 858.663.9055
  • Email: info@nsjbio.com
Home >> Antibodies >> FOXL1 Antibody

FOXL1 Antibody [clone PCRP-FOXL1-1F8] (V9554)

  Catalog No Formulation Size Price (USD)  
Image V9554-100UG 0.2 mg/ml in 1X PBS with 0.1 mg/ml BSA (US sourced), 0.05% sodium azide 100 ug 539
Image
V9554-20UG 0.2 mg/ml in 1X PBS with 0.1 mg/ml BSA (US sourced), 0.05% sodium azide 20 ug 249
Image
V9554SAF-100UG 1 mg/ml in 1X PBS; BSA free, sodium azide free 100 ug 539
Microvalidated
Bulk quote request
Immunofluorescent staining of PFA-fixed human HeLa cells using FOXL1 antibody (green, clone PCRP-FOXL1-1F8) and phalloidin (red).
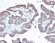
IHC staining of FFPE human prostate tissue with FOXL1 antibody (clone PCRP-FOXL1-1F8) at 2ug/ml. HIER: boil tissue sections in pH 9 10mM Tris with 1mM EDTA for 20 min and allow to cool before testing.
FACS staining of PFA-fixed human HeLa cells with FOXL1 antibody (blue, clone PCRP-FOXL1-1F8), and unstained cells (red).
SDS-PAGE analysis of purified, BSA-free FOXL1 antibody (clone PCRP-FOXL1-1F8) as confirmation of integrity and purity.
Analysis of HuProt(TM) microarray containing more than 19,000 full-length human proteins using FOXL1 antibody (clone PCRP-FOXL1-1F8). These results demonstrate the foremost specificity of the PCRP-FOXL1-1F8 mAb. Z- and S- score: The Z-score represents the strength of a signal that an antibody (in combination with a fluorescently-tagged anti-IgG secondary Ab) produces when binding to a particular protein on the HuProt(TM) array. Z-scores are described in units of standard deviations (SD's) above the mean value of all signals generated on that array. If the targets on the HuProt(TM) are arranged in descending order of the Z-score, the S-score is the difference (also in units of SD's) between the Z-scores. The S-score therefore represents the relative target specificity of an Ab to its intended target.
Availability 1-3 business days
Species Reactivity Human
Format Purified
Clonality Monoclonal (mouse origin)
Isotype Mouse IgG1
Clone Name PCRP-FOXL1-1F8
Purity Protein A/G affinity
UniProt Q12951
Localization Nucleus
Applications Flow Cytometry : 1-2ug/million cells
Immunofluorescence : 1-2ug/ml
Western Blot : 1-2ug/ml
Immunohistochemistry (FFPE) : 1-2ug/ml
Limitations This FOXL1 antibody is available for research use only.
Review this product on BioCompare and get a $20 Amazon gift card

Description

FOXL1 is a 337 amino acid protein encoded by the mouse gene FOXL1. FOXL1 belongs to the forkhead family and contains one forkhead DNA-binding domain. The HNF3/forkhead family includes a large number of transcription factors that share a structurally related DNA binding domain. forkhead factors are known to play important roles both during development and in adults. FOXL1 is a winged helix transcriptional regulator expressed in the mesenchymal layer of developing and mature gastrointestinal tract. FOXL1-deficient mice exhibit various defects not only in the epithelial layer of the gastrointestinal tract but also in gut-associated lymphoid tissues. In the small intestine of FOXL1-deficient mice, the formation of Peyers patches is affected, particularly in the caudal region. FOXL1 is a mesenchymal modifier of the Adenomatous Polyposis Coli (APC) gene products and plays a key role in gastrointestinal tumorigenesis.

Application Notes

Optimal dilution of the FOXL1 antibody should be determined by the researcher.

Immunogen

A portion of amino acids 104-258 was used as the immunogen for the FOXL1 antibody.

Storage

Aliquot the FOXL1 antibody and store frozen at -20oC or colder. Avoid repeated freeze-thaw cycles.

Cross
Bulk Quote Request Form
Name*:
Organization*:
Email*:
Phone Number*:
Catalog No.*:
Comments and Specifics(amount, formulation, etc.)*:
Validation code: Captchapackage Image


Can't read the image? click here to refresh.
    *required field

Your bulk quote request has been submitted successfully!

Please contact us if you have any questions.