• Tel: 858.663.9055
  • SeparatorEmail: info@nsjbio.com
  • Tel: 858.663.9055
  • Email: info@nsjbio.com
Home >> Antibodies >> FOXD1 Antibody / Forkhead box protein D1

FOXD1 Antibody / Forkhead box protein D1 (F55106)

  Catalog No Formulation Size Price (USD)  
Image F55106-0.4ML In 1X PBS, pH 7.4, with 0.09% sodium azide 0.4 ml 429
Image
F55106-0.08ML In 1X PBS, pH 7.4, with 0.09% sodium azide 0.08 ml 199
Bulk quote request
Western blot testing of 1) human HEK293, 2) human U-2 OS, 3) human U-87 MG, 4) human Y79, 5) mouse kidney and 6) mouse eyeball tissue lysate with FOXD1 antibody. Predicted molecular weight ~46 kDa.
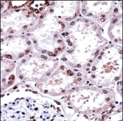
IHC staining of FFPE human kidney tissue with FOXD1 antibody. HIER: steam section in pH6 citrate buffer for 20 min and allow to cool prior to staining.
Immunofluorescent staining of fixed and permeabilized human HepG2 cells with FOXD1 antibody (green) and Phalloidin (red).
Availability 1-3 business days
Species Reactivity Human, Mouse
Format Purified
Clonality Polyclonal (rabbit origin)
Isotype Rabbit Ig
Purity Antigen affinity
UniProt Q16676
Localization Nuclear
Applications Western Blot : 1:1000-1:2000
Immunohistochemistry (FFPE) : 1:10-1:50
Immunofluorescence : 1:25
Limitations This FOXD1 antibody is available for research use only.
Review this product on BioCompare and get a $20 Amazon gift card

Description

FOXD1 belongs to the forkhead box protein family, specifically the forkhead box D (FOX D) subfamily. It is involved in regulating gene expression by binding to specific DNA sequences and influencing transcription. FOXD1 is known to play essential roles in embryonic development, particularly in the formation of various tissues and organs. In addition, it has been implicated in the regulation of cell proliferation, differentiation, and survival. It is also involved in the development of the kidney and nervous system. Studies have shown that FOXD1 is essential for the formation of the metanephric mesenchyme, a precursor structure for the kidney. Moreover, FOXD1 has been linked to neurogenesis and neuronal differentiation, highlighting its crucial role in brain development. Dysregulation of FOXD1 expression has been associated with several diseases and disorders. For instance, aberrant expression of FOXD1 has been observed in various cancers, including breast cancer, lung cancer, and renal cell carcinoma. In these contexts, FOXD1 may act as an oncogene or tumor suppressor, depending on the cellular context and signaling pathways involved. Furthermore, FOXD1 has been implicated in the pathogenesis of neurodevelopmental disorders, such as autism and schizophrenia. Studies have suggested that dysregulated FOXD1 expression may contribute to the atypical brain development seen in these conditions.

Application Notes

The stated application concentrations are suggested starting points. Titration of the FOXD1 antibody may be required due to differences in protocols and secondary/substrate sensitivity.

Immunogen

A portion of amino acids 1-30 from the human protein was used as the immunogen for the FOXD1 antibody.

Storage

Aliquot the FOXD1 antibody and store frozen at -20oC or colder. Avoid repeated freeze-thaw cycles.

Cross
Bulk Quote Request Form
Name*:
Organization*:
Email*:
Phone Number*:
Catalog No.*:
Comments and Specifics(amount, formulation, etc.)*:
Validation code: Captchapackage Image


Can't read the image? click here to refresh.
    *required field

Your bulk quote request has been submitted successfully!

Please contact us if you have any questions.