• Tel: 858.663.9055
  • SeparatorEmail: info@nsjbio.com
  • Tel: 858.663.9055
  • Email: info@nsjbio.com
Home >> Antibodies >> FOXA2 Antibody

FOXA2 Antibody (RQ6421)

  Catalog No Formulation Size Price (USD)  
Image RQ6421 0.5mg/ml if reconstituted with 0.2ml sterile DI water 100 ug 439
Bulk quote request
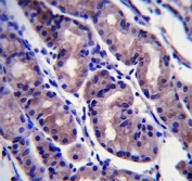
IHC staining of FFPE human gastric cancer tissue with FOXA2 antibody. HIER: boil tissue sections in pH8 EDTA for 20 min and allow to cool before testing.
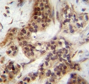
IHC staining of FFPE human colonic adenocarcinoma tissue with FOXA2 antibody. HIER: boil tissue sections in pH8 EDTA for 20 min and allow to cool before testing.
Immunofluorescent staining of FFPE human PC-3 cells with FOXA2 antibody (green) and DAPI nuclear stain (blue). HIER: steam section in pH6 citrate buffer for 20 min.
Western blot testing of human 1) HepG2, 2) PC-3, 3) A549, 4) HeLa, 5) Caco-2, 6) rat pancreas and 7) mouse pancreas tissue lysate with FOXA2 antibody. Predicted molecular weight ~50 kDa.
Flow cytometry testing of human PC-3 cells with FOXA2 antibody at 1ug/million cells (blocked with goat sera); Red=cells alone, Green=isotype control, Blue= FOXA2 antibody.
Availability 1-3 business days
Species Reactivity Human, Mouse, Rat
Format Purified
Clonality Polyclonal (rabbit origin)
Isotype Rabbit IgG
Purity Antigen affinity purified
Buffer Lyophilized from 1X PBS with 2% Trehalose
UniProt Q9Y261
Localization Cytoplasmic, nuclear
Applications Western Blot : 0.5-1ug/ml
Immunohistochemistry (FFPE) : 2-5ug/ml
Immunofluorescence (FFPE) : 5ug/ml
Flow Cytometry : 1-3ug/million cells
Direct ELISA : 0.1-0.5ug/ml
Limitations This FOXA2 antibody is available for research use only.
Review this product on BioCompare and get a $20 Amazon gift card

Related Products

  • Applications : IF, WB, IHC, ELISA
    Reactivity : Human
    Pred. Reactivity : Mouse, Rat
  • Applications : IHC, IF, WB, ELISA
    Reactivity : Human, Rat
    Pred. Reactivity : Mouse
  • Applications : WB, IHC, ELISA
    Reactivity : Human
    Pred. Reactivity : Mouse, Rat, Zebrafish, Xenopus
  • Applications : WB, ELISA
    Reactivity : Human
    Pred. Reactivity : Mouse, Rat
  • Applications : WB, ELISA
    Reactivity : Rat
  • Applications : WB, IHC, ELISA (peptide)
    Reactivity : Human, Rat
  • Applications : WB, IHC, ELISA (peptide)
    Reactivity : Human, Rat

Description

Forkhead box protein A2 (FOXA2), also known as hepatocyte nuclear factor 3-beta (HNF-3B), is a transcription factor that plays an important role during development, in mature tissues and, when dysregulated or mutated, also in cancer. This gene encodes a member of the forkhead class of DNA-binding proteins. These hepatocyte nuclear factors are transcriptional activators for liver-specific genes such as albumin and transthyretin, and they also interact with chromatin. Similar family members in mice have roles in the regulation of metabolism and in the differentiation of the pancreas and liver. This gene has been linked to sporadic cases of maturity-onset diabetes of the young. Transcript variants encoding different isoforms have been identified for this gene.

Application Notes

Optimal dilution of the FOXA2 antibody should be determined by the researcher.

Immunogen

Recombinant human protein (amino acids Q139-Q446) was used as the immunogen for the FOXA2 antibody.

Storage

After reconstitution, the FOXA2 antibody can be stored for up to one month at 4oC. For long-term, aliquot and store at -20oC. Avoid repeated freezing and thawing.

Cross
Bulk Quote Request Form
Name*:
Organization*:
Email*:
Phone Number*:
Catalog No.*:
Comments and Specifics(amount, formulation, etc.)*:
Validation code: Captchapackage Image


Can't read the image? click here to refresh.
    *required field

Your bulk quote request has been submitted successfully!

Please contact us if you have any questions.