• Tel: 858.663.9055
  • SeparatorEmail: info@nsjbio.com
  • Tel: 858.663.9055
  • Email: info@nsjbio.com
Home >> Antibodies >> FOXA2 Antibody

FOXA2 Antibody (R34150)

  Catalog No Formulation Size Price (USD)  
Image R34150-100UG 0.5 mg/ml in 1X TBS, pH7.3, with 0.5% BSA (US sourced) and 0.02% sodium azide 100 ug 449
Bulk quote request
Western blot testing of human liver lysate with FOXA2 antibody at 1ug/ml
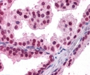
IHC staining of FFPE human prostate with FOXA2 antibody at 4ug/ml. HIER: steamed with pH6 citrate buffer, AP-staining.
Western blot of rat lung lysate with FOXA2 antibody at 1ug/ml
Availability 1-3 business days
Species Reactivity Human, Rat
Format Antigen affinity purified
Clonality Polyclonal (goat origin)
Isotype Goat Ig
Purity Antigen affinity
Gene ID 3170
Applications Western Blot : 1-3ug/ml
Immunohistochemistry (FFPE) : 4-8ug/ml
ELISA (peptide) LOD : 1:4000
Limitations This FOXA2 antibody is available for research use only.
Review this product on BioCompare and get a $20 Amazon gift card

Related Products

  • Applications : IF, WB, IHC, ELISA
    Reactivity : Human
    Pred. Reactivity : Mouse, Rat
  • Applications : IHC, IF, WB, ELISA
    Reactivity : Human, Rat
    Pred. Reactivity : Mouse
  • Applications : WB, IHC, ELISA
    Reactivity : Human
    Pred. Reactivity : Mouse, Rat, Zebrafish, Xenopus
  • Applications : WB, ELISA
    Reactivity : Human
    Pred. Reactivity : Mouse, Rat
  • Applications : WB, ELISA
    Reactivity : Rat
  • Applications : WB, IHC, ELISA (peptide)
    Reactivity : Human, Rat
  • Applications : WB, IHC-P, IF, FACS, Direct ELISA
    Reactivity : Human, Mouse, Rat

Description

Additional name(s) for this target protein: Forkhead box A2; HNF3B

Application Notes

Optimal dilution of the FOXA2 antibody should be determined by the researcher.

Immunogen

Amino acids GVYSRPIMNSS were used as the immunogen for this FOXA2 antibody.

Storage

Aliquot and store the FOXA2 antibody at -20oC.

Cross
Bulk Quote Request Form
Name*:
Organization*:
Email*:
Phone Number*:
Catalog No.*:
Comments and Specifics(amount, formulation, etc.)*:
Validation code: Captchapackage Image


Can't read the image? click here to refresh.
    *required field

Your bulk quote request has been submitted successfully!

Please contact us if you have any questions.