• Tel: 858.663.9055
  • SeparatorEmail: info@nsjbio.com
  • Tel: 858.663.9055
  • Email: info@nsjbio.com
Home >> Antibodies >> FOXA2 Antibody

FOXA2 Antibody (F42808)

  Catalog No Formulation Size Price (USD)  
Image F42808-0.4ML In 1X PBS, pH 7.4, with 0.09% sodium azide 0.4 ml 429
Image
F42808-0.08ML In 1X PBS, pH 7.4, with 0.09% sodium azide 0.08 ml 199
Bulk quote request
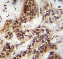
FOXA2 antibody immunohistochemistry analysis in formalin fixed and paraffin embedded human bladder carcinoma.
FOXA2 antibody western blot analysis in HL-60 lysate. Predicted molecular weight: 50 kDa.
Availability 1-3 business days
Species Reactivity Human
Predicted Reactivity Mouse, Rat, Zebrafish, Xenopus
Format Antigen affinity purified
Clonality Polyclonal (rabbit origin)
Isotype Rabbit Ig
Purity Antigen affinity
UniProt Q9Y261
Applications Western Blot : 1:1000
IHC (Paraffin) : 1:10-1:50
Limitations This FOXA2 antibody is available for research use only.
Review this product on BioCompare and get a $20 Amazon gift card

Related Products

  • Applications : IF, WB, IHC, ELISA
    Reactivity : Human
    Pred. Reactivity : Mouse, Rat
  • Applications : IHC, IF, WB, ELISA
    Reactivity : Human, Rat
    Pred. Reactivity : Mouse
  • Applications : WB, ELISA
    Reactivity : Human
    Pred. Reactivity : Mouse, Rat
  • Applications : WB, ELISA
    Reactivity : Rat
  • Applications : WB, IHC, ELISA (peptide)
    Reactivity : Human, Rat
  • Applications : WB, IHC, ELISA (peptide)
    Reactivity : Human, Rat
  • Applications : WB, IHC-P, IF, FACS, Direct ELISA
    Reactivity : Human, Mouse, Rat

Description

This gene encodes a member of the forkhead class of DNA-binding proteins. These hepatocyte nuclear factors are transcriptional activators for liver-specific genes such as albumin and transthyretin, and they also interact with chromatin. Similar family members in mice have roles in the regulation of metabolism and in the differentiation of the pancreas and liver. This gene has been linked to sporadic cases of maturity-onset diabetes of the young. Transcript variants encoding different isoforms have been identified for this gene.

Application Notes

Titration of the FOXA2 antibody may be required due to differences in protocols and secondary/substrate sensitivity.

Immunogen

A portion of amino acids 134-163 from the human protein was used as the immunogen for this FOXA2 antibody.

Storage

Aliquot the FOXA2 antibody and store frozen at -20oC or colder. Avoid repeated freeze-thaw cycles.

Cross
Bulk Quote Request Form
Name*:
Organization*:
Email*:
Phone Number*:
Catalog No.*:
Comments and Specifics(amount, formulation, etc.)*:
Validation code: Captchapackage Image


Can't read the image? click here to refresh.
    *required field

Your bulk quote request has been submitted successfully!

Please contact us if you have any questions.