• Tel: 858.663.9055
  • SeparatorEmail: info@nsjbio.com
  • Tel: 858.663.9055
  • Email: info@nsjbio.com
Home >> Antibodies >> FOXA1 Antibody

FOXA1 Antibody (R34151)

  Catalog No Formulation Size Price (USD)  
Image R34151-100UG 0.5 mg/ml in 1X TBS, pH7.3, with 0.5% BSA (US sourced) and 0.02% sodium azide 100 ug 449
Bulk quote request
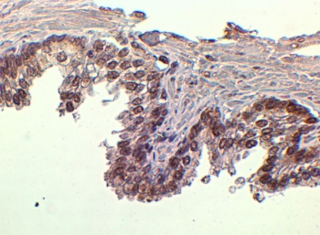
IHC staining of FFPE human prostate tissue with FOXA1 antibody at 2ug/ml. HIER: steamed with pH6 citrate buffer, HRP-staining.
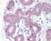
IHC staining of FFPE human breast tissue with FOXA1 antibody at 5ug/ml. HIER: steamed with pH6 citrate buffer, AP-staining.
Availability 1-3 business days
Species Reactivity Human
Predicted Reactivity Cow, Mouse, Pig, Rat
Format Antigen affinity purified
Clonality Polyclonal (goat origin)
Isotype Goat Ig
Purity Antigen affinity
Gene ID 3169
Localization Nuclear
Applications Immunohistochemistry (FFPE) : 2-5ug/ml
ELISA (peptide) LOD : 1:8000
Limitations This FOXA1 antibody is available for research use only.
Review this product on BioCompare and get a $20 Amazon gift card

Related Products

Description

Additional name(s) for this target protein: Forkhead box A1; HNF3A

Application Notes

Optimal dilution of the FOXA1 antibody should be determined by the researcher.

Immunogen

Amino acids GVYSRPVLNTS were used as the immunogen for this FOXA1 antibody.

Storage

Aliquot and store the FOXA1 antibody at -20oC.

Cross
Bulk Quote Request Form
Name*:
Organization*:
Email*:
Phone Number*:
Catalog No.*:
Comments and Specifics(amount, formulation, etc.)*:
Validation code: Captchapackage Image


Can't read the image? click here to refresh.
    *required field

Your bulk quote request has been submitted successfully!

Please contact us if you have any questions.