• Tel: 858.663.9055
  • SeparatorEmail: info@nsjbio.com
  • Tel: 858.663.9055
  • Email: info@nsjbio.com
Home >> Antibodies >> FOXA1 Antibody

FOXA1 Antibody [clone FOXA1/1518] (V3371)

  Catalog No Formulation Size Price (USD)  
Image V3371-100UG 0.2 mg/ml in 1X PBS with 0.1 mg/ml BSA (US sourced) and 0.05% sodium azide 100 ug 539
Image
V3371-20UG 0.2 mg/ml in 1X PBS with 0.1 mg/ml BSA (US sourced) and 0.05% sodium azide 20 ug 249
Image
V3371SAF-100UG 1 mg/ml in 1X PBS; BSA free, sodium azide free 100 ug 539
Bulk quote request
Western blot testing of human HeLa cell lysate with FOXA1 antibody (clone FOXA1/1518). Predicted molecular weight: ~49 kDa.
IHC testing of FFPE human prostate carcinoma with FOXA1 antibody (clone FOXA1/1518). HIER: boil sections in 10mM Tris with 1mM EDTA, pH9, for 10-20 min.
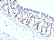
IHC testing of FFPE rat colon with FOXA1 antibody (clone FOXA1/1518). HIER: boil sections in 10mM Tris with 1mM EDTA, pH9, for 10-20 min.
Immunofluorescent staining of PFA-fixed human MCF7 cells with FOXA1 antibody (clone FOXA1/1518, green) and Phalloiden (red).
FACS testing of PFA-fixed human MCF-7 cells with FOXA1 antibody (clone FOXA1/1518); Red=isotype control, Blue= FOXA1 antibody.
SDS-PAGE Analysis of Purified, BSA-Free FOXA1 Antibody (clone FOXA1/1518). Confirmation of Integrity and Purity of the Antibody.
Species Reactivity Human, Rat
Format Purified
Clonality Monoclonal (mouse origin)
Isotype Mouse IgG2a, kappa
Clone Name FOXA1/1518
Purity Protein G affinity chromatography
Buffer 1X PBS, pH 7.4
UniProt P55317
Gene ID 3169
Localization Nuclear
Applications Western Blot : 1-2ug/ml
Immunohistochemistry (FFPE) : 1-2ug/ml for 30 min at RT
Flow Cytometry : 1-2ug/million cells
Immunofluorescence : 2-4ug/ml
Limitations This FOXA1 antibody is available for research use only.
Review this product on BioCompare and get a $20 Amazon gift card

Related Products

Description

The transcription factor Forkhead-box A1 (FOXA1), also known as hepatocyte nuclear factor 3-alpha, is a member of the FOX class of transcription factors. HNF-1 (α and β), HNF-3 (α, β and γ), HNF-4 (α and γ), and HNF-6 compose, in part, a homeoprotein family designated the hepatocyte nuclear factor family. The various HNF-1 isoforms regulate transcription of genes in the liver as well as in other tissues such as kidney, small intestine and thymus. FOXA1 is expressed in normal breast ductal epithelium and other epithelium in different organs, such as lung, pancreas, bladder, prostate, and colon. Recently, FOXA1 has been shown to be a major determinant of estrogen-ER activity and endocrine response in breast cancer cells. FOXA1 expression correlates with estrogen receptor (ER)-positivity, especially in luminal subtype A breast cancers, which is associated with favorable prognosis. FOXA1 is useful in the sub-classification of breast carcinomas.

Application Notes

The concentration stated for each application is a general starting point. Variations in protocols, secondaries and substrates may require the FOXA1 antibody to be titered up or down for optimal performance.

Immunogen

A human partial recombinant protein corresponding to amino acids 372-472 was used as the immunogen for this FOXA1 antibody.

Storage

Store the FOXA1 antibody at 2-8oC (with azide) or aliquot and store at -20oC or colder (without azide).

Cross
Bulk Quote Request Form
Name*:
Organization*:
Email*:
Phone Number*:
Catalog No.*:
Comments and Specifics(amount, formulation, etc.)*:
Validation code: Captchapackage Image


Can't read the image? click here to refresh.
    *required field

Your bulk quote request has been submitted successfully!

Please contact us if you have any questions.