• Tel: 858.663.9055
  • SeparatorEmail: info@nsjbio.com
  • Tel: 858.663.9055
  • Email: info@nsjbio.com
Home >> Antibodies >> FOXA1 Antibody

FOXA1 Antibody [clone FHBA1-1] (V7225)

  Catalog No Formulation Size Price (USD)  
Image V7225-100UG 0.2 mg/ml in 1X PBS with 0.1 mg/ml BSA (US sourced) and 0.05% sodium azide 100 ug 539
Image
V7225-20UG 0.2 mg/ml in 1X PBS with 0.1 mg/ml BSA (US sourced) and 0.05% sodium azide 20 ug 249
Image
V7225SAF-100UG 1 mg/ml in 1X PBS; BSA free, sodium azide free 100 ug 539
Bulk quote request
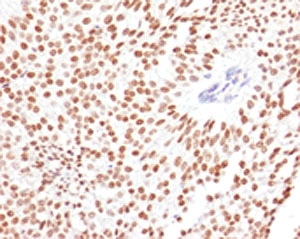
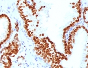
IHC testing of FFPE human bladder carcinoma with FOXA1 antibody (clone FHBA1-1). Staining of FFPE tissue is enhanced by boiling sections in 10mM Tris with 1mM EDTA, pH9 for 10-20 min followed by cooling at RT for 20 min.
IHC testing of FFPE human prostate carcinoma with FOXA1 antibody (clone FHBA1-1). Staining of FFPE tissue is enhanced by boiling sections in 10mM Tris with 1mM EDTA, pH9 for 10-20 min followed by cooling at RT for 20 min.
Immunofluorescent staining of PFA-fixed human MCF7 cells with FOXA1 antibody (clone FHBA1-1, green) and Phalloiden (red).
FACS testing of PFA-fixed human MCF-7 cells with FOXA1 antibody (clone FHBA1-1); Red=isotype control, Blue= FOXA1 antibody.
Western blot testing of human HeLa cell lysate with FOXA1 antibody (clone FHBA1-1). Predicted molecular weight: ~49 kDa.
Species Reactivity Human
Format Purified
Clonality Monoclonal (mouse origin)
Isotype Mouse IgG2b, kappa
Clone Name FHBA1-1
Purity Protein G affinity chromatography
Buffer 1X PBS, pH 7.4
Gene ID 3169
Localization Nuclear
Applications Immunohistochemistry (FFPE) : 1-2ug/ml for 30 min at RT
Flow Cytometry : 1-2ug/million cells
Immunofluorescence : 2-4ug/ml
Western Blot : 1-2ug/ml
Limitations This FOXA1 antibody is available for research use only.
Review this product on BioCompare and get a $20 Amazon gift card

Related Products

Description

The transcription factor Forkhead-box A1, also known as hepatocyte nuclear factor 3-alpha, is a member of the FOX class of transcription factors. HNF-1 (alpha and beta), HNF-3 (alpha, beta and gamma), HNF-4 (alpha and gamma), and HNF-6 compose, in part, a homeoprotein family designated the hepatocyte nuclear factor family. The various HNF-1 isoforms regulate transcription of genes in the liver as well as in other tissues such as kidney, small intestine and thymus. FOXA1 is expressed in normal breast ductal epithelium and other epithelium in different organs, such as lung, pancreas, bladder, prostate, and colon. Recently, FOXA1 has been shown to be a major determinant of estrogen-ER activity and endocrine response in breast cancer cells. Its expression correlates with estrogen receptor (ER)-positivity, especially in luminal subtype A breast cancers, which is associated with favorable prognosis. FOXA1 is useful in the sub-classification of breast carcinomas.

Application Notes

The concentration stated for each application is a general starting point. Variations in protocols, secondaries and substrates may require the FOXA1 antibody to be titered up or down for optimal performance.

Immunogen

A human partial recombinant protein corresponding to amino acids 372-472 was used as the immunogen for this FOXA1 antibody.

Storage

Store the FOXA1 antibody at 2-8oC (with azide) or aliquot and store at -20oC or colder (without azide).

Cross
Bulk Quote Request Form
Name*:
Organization*:
Email*:
Phone Number*:
Catalog No.*:
Comments and Specifics(amount, formulation, etc.)*:
Validation code: Captchapackage Image


Can't read the image? click here to refresh.
    *required field

Your bulk quote request has been submitted successfully!

Please contact us if you have any questions.