• Tel: 858.663.9055
  • SeparatorEmail: info@nsjbio.com
  • Tel: 858.663.9055
  • Email: info@nsjbio.com
Home >> Antibodies >> Fos B Antibody

Fos B Antibody (R32134)

  Catalog No Formulation Size Price (USD)  
Image R32134 0.5mg/ml if reconstituted with 0.2ml sterile DI water 100 ug 439
Bulk quote request
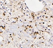
IHC testing of FFPE human pancreatic cancer tissue with Fos B antibody. HIER: Boil the paraffin sections in pH 6, 10mM citrate buffer for 20 minutes and allow to cool prior to staining.
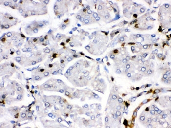
IHC testing of FFPE human renal cancer tissue with Fos B antibody. HIER: Boil the paraffin sections in pH8 EDTA for 20 minutes and allow to cool prior to staining.
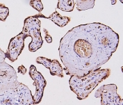
IHC testing of FFPE human placental tissue with Fos B antibody. HIER: Boil the paraffin sections in pH8 EDTA for 20 minutes and allow to cool prior to staining.
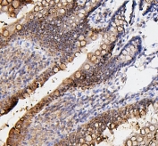
IHC testing of FFPE mouse intestinal tissue with Fos B antibody. HIER: Boil the paraffin sections in pH8 EDTA for 20 minutes and allow to cool prior to staining.
IHC testing of FFPE rat intestinal tissue with Fos B antibody. HIER: Boil the paraffin sections in pH8 EDTA for 20 minutes and allow to cool prior to staining.
Western blot testing of 1) rat thymus and mouse 2) thymus, 3) ovary, 4) spleen, 5) kidney, 6) RAW264.7 and human 7) HL-60 and 8) ThP-1 lysate with Fos B antibody. Expected molecular weight ~36 kDa.
Flow cytometry testing of human SiHa cells with Fos B antibody at 1ug/million cells (blocked with goat sera); Red=cells alone, Green=isotype control, Blue= Fos B antibody.
Availability 1-3 business days
Species Reactivity Human, Mouse, Rat
Format Antigen affinity purified
Clonality Polyclonal (rabbit origin)
Isotype Rabbit IgG
Purity Antigen affinity
Buffer Lyophilized from 1X PBS with 2.5% BSA and 0.025% sodium azide
UniProt P53539
Localization Nuclear
Applications Western Blot : 0.1-0.5ug/ml
Immunohistochemistry (FFPE) : 0.5-1ug/ml
Flow Cytometry : 1-3ug/million cells
Limitations This Fos B antibody is available for research use only.
Review this product on BioCompare and get a $20 Amazon gift card

Related Products

  • Applications : WB
    Reactivity : Human, Mouse, Rat
  • Applications : IHC-P, IF, Direct ELISA
    Reactivity : Human

Description

FOSB, FBJ murine osteosarcoma viral oncogene homolog B, is a protein that, in humans, is encoded by the FOSB gene. FOSB is a member of Fos gene family which consists of 4 members: FOS, FOSB, FOSL1, and FOSL2. The FOS proteins have been implicated as regulators of cell proliferation, differentiation, and transformation. The FOSB gene is mapped to 19q13.32. Delta FOSB is a truncated splice variant of FOSB. Delta FosB has been implicated in the development of drug addiction and control of the reward system in the brain, and is linked to changes in a number of other gene products such as CREB and sirtuins. Delta FosB also regulates the commitment of mesenchymal precursor cells to the adipocyte or osteoblast lineage.

Application Notes

Optimal dilution of the Fos B antibody should be determined by the researcher.

Immunogen

Amino acids LPFQTSQDAPPNLTASLFTHSEVQVLGD of human Fos B were used as the immunogen for the Fos B antibody.

Storage

After reconstitution, the Fos B antibody can be stored for up to one month at 4oC. For long-term, aliquot and store at -20oC. Avoid repeated freezing and thawing.

Cross
Bulk Quote Request Form
Name*:
Organization*:
Email*:
Phone Number*:
Catalog No.*:
Comments and Specifics(amount, formulation, etc.)*:
Validation code: Captchapackage Image


Can't read the image? click here to refresh.
    *required field

Your bulk quote request has been submitted successfully!

Please contact us if you have any questions.