• Tel: 858.663.9055
  • SeparatorEmail: info@nsjbio.com
  • Tel: 858.663.9055
  • Email: info@nsjbio.com
Home >> Antibodies >> FOLH1 Antibody / PSMA

FOLH1 Antibody / PSMA [clone GCP2-1] (V7639)

  Catalog No Formulation Size Price (USD)  
Image V7639-100UG 0.2 mg/ml in 1X PBS with 0.1 mg/ml BSA (US sourced) and 0.05% sodium azide 100 ug 539
Image
V7639-20UG 0.2 mg/ml in 1X PBS with 0.1 mg/ml BSA (US sourced) and 0.05% sodium azide 20 ug 249
Image
V7639SAF-100UG 1 mg/ml in 1X PBS; BSA free, sodium azide free 100 ug 539
Bulk quote request
Western blot testing of human LNCaP cell lysate with FOLH1 antibody. Predicted molecular weight ~100 kDa.
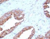
IHC testing of FFPE human prostate carcinoma with FOLH1 antibody. Required HIER: boil tissue sections in pH 9 10mM Tris with 1mM EDTA for 10-20 min and allow to cool before testing.
Availability 1-3 business days
Species Reactivity Human
Format Purified
Clonality Monoclonal (mouse origin)
Isotype Mouse IgG2b, kappa
Clone Name GCP2-1
Purity Protein G affinity chromatography
UniProt Q04609
Localization Cytoplasmic, cell surface
Applications Western Blot : 1-2ug/ml
Immunohistochemistry (FFPE) : 1-2ug/ml for 30 min at RT
Limitations This FOLH1 antibody is available for research use only.
Review this product on BioCompare and get a $20 Amazon gift card

Related Products

Description

Folate hydrolase 1 (FOLH1), also known as Prostate-specific membrane antigen (PSMA), has both folate hydrolase and N-acetylated-alpha-linked-acidic dipeptidase (NAALADase) activity. Has a preference for tri-alpha-glutamate peptides. In the intestine, required for the uptake of folate. In the brain, modulates excitatory neurotransmission through the hydrolysis of the neuropeptide, N-aceylaspartylglutamate (NAAG), thereby releasing glutamate. Involved in prostate tumor progression. [UniProt]

Application Notes

The stated application concentrations are suggested starting points. Titration of the FOLH1 antibody may be required due to differences in protocols and secondary/substrate sensitivity.

Immunogen

A portion of amino acids 232-433 from the human protein was used as the immunogen for this FOLH1 antibody.

Storage

Store the FOLH1 antibody at 2-8oC (with azide) or aliquot and store at -20oC or colder (without azide).

Cross
Bulk Quote Request Form
Name*:
Organization*:
Email*:
Phone Number*:
Catalog No.*:
Comments and Specifics(amount, formulation, etc.)*:
Validation code: Captchapackage Image


Can't read the image? click here to refresh.
    *required field

Your bulk quote request has been submitted successfully!

Please contact us if you have any questions.