• Tel: 858.663.9055
  • SeparatorEmail: info@nsjbio.com
  • Tel: 858.663.9055
  • Email: info@nsjbio.com
Home >> Antibodies >> FOLH1 Antibody / PSMA

FOLH1 Antibody / PSMA [clone FOLH1/2363] (V7505)

  Catalog No Formulation Size Price (USD)  
Image V7505-100UG 0.2 mg/ml in 1X PBS with 0.1 mg/ml BSA (US sourced) and 0.05% sodium azide 100 ug 539
Image
V7505-20UG 0.2 mg/ml in 1X PBS with 0.1 mg/ml BSA (US sourced) and 0.05% sodium azide 20 ug 249
Image
V7505SAF-100UG 1 mg/ml in 1X PBS; BSA free, sodium azide free 100 ug 539
Image
V7505IHC-7ML Prediluted in 1X PBS with 0.1 mg/ml BSA (US sourced) and 0.05% sodium azide; *For IHC use only* 7 ml 539
Microvalidated
Bulk quote request
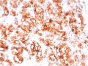
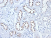
IHC testing of FFPE human prostate cancer with FOLH1 antibody. Required HIER: boil tissue sections in pH 9 10mM Tris with 1mM EDTA for 10-20 min and allow to cool before testing.
IHC testing of FFPE human prostate carcinoma with FOLH1 antibody. Required HIER: boil tissue sections in pH 9 10mM Tris with 1mM EDTA for 10-20 min and allow to cool before testing.
Western blot testing of human LNCaP cell lysate with FOLH1 antibody. Predicted molecular weight ~100 kDa.
Analysis of HuProt(TM) microarray containing more than 19,000 full-length human proteins using FOLH1 antibody. These results demonstrate the foremost specificity of the FOLH1/2363 mAb.
Z- and S- score: The Z-score represents the strength of a signal that an antibody (in combination with a fluorescently-tagged anti-IgG secondary Ab) produces when binding to a particular protein on the HuProt(TM) array. Z-scores are described in units of standard deviations (SD's) above the mean value of all signals generated on that array. If the targets on the HuProt(TM) are arranged in descending order of the Z-score, the S-score is the difference (also in units of SD's) between the Z-scores. The S-score therefore represents the relative target specificity of an Ab to its intended target.
SDS-PAGE analysis of purified, BSA-free FOLH1 antibody as confirmation of integrity and purity.
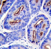
IHC testing of FFPE rat kidney tissue with FOLH1 antibody. Required HIER: boil tissue sections in pH 9 10mM Tris with 1mM EDTA for 10-20 min and allow to cool before testing.
IHC testing of FFPE dog kidney tissue with FOLH1 antibody. Required HIER: boil tissue sections in pH 9 10mM Tris with 1mM EDTA for 10-20 min and allow to cool before testing.
IHC testing of FFPE cow brain tissue with FOLH1 antibody. Required HIER: boil tissue sections in pH 9 10mM Tris with 1mM EDTA for 10-20 min and allow to cool before testing.
Availability 1-3 business days
Species Reactivity Human, Rat, Dog, Cow
Format Purified
Clonality Monoclonal (mouse origin)
Isotype Mouse IgG2b, kappa
Clone Name FOLH1/2363
Purity Protein G affinity chromatography
UniProt Q04609
Localization Cytoplasmic, cell surface
Applications Western Blot : 0.5-2ug/ml
Immunohistochemistry (FFPE) : 1-2ug/ml for 30 min at RT
Limitations This FOLH1 antibody is available for research use only.
Review this product on BioCompare and get a $20 Amazon gift card

Related Products

Description

Folate hydrolase 1 (FOLH1), also known as Prostate-specific membrane antigen (PSMA), is a type II transmembrane glycoprotein belonging to the M28 peptidase family. FOLH1 has two enzymatic activities, one as a prostate-specific integral membrane folate hydrolase and the other as a carboxypeptidase In the prostate the protein is up-regulated in cancerous cells and is used as an effective diagnostic and prognostic indicator of prostate cancer.

Application Notes

Optimal dilution of the FOLH1 antibody should be determined by the researcher.

1. The prediluted format is supplied in a dropper bottle and is optimized for use in IHC. After epitope retrieval step (if required), drip mAb solution onto the tissue section and incubate at RT for 30 min.

Immunogen

A portion of amino acids 232-433 from the human protein was used as the immunogen for this FOLH1 antibody.

Storage

Store the FOLH1 antibody at 2-8oC (with azide) or aliquot and store at -20oC or colder (without azide).

Cross
Bulk Quote Request Form
Name*:
Organization*:
Email*:
Phone Number*:
Catalog No.*:
Comments and Specifics(amount, formulation, etc.)*:
Validation code: Captchapackage Image


Can't read the image? click here to refresh.
    *required field

Your bulk quote request has been submitted successfully!

Please contact us if you have any questions.