• Tel: 858.663.9055
  • SeparatorEmail: info@nsjbio.com
  • Tel: 858.663.9055
  • Email: info@nsjbio.com
Home >> Antibodies >> Folate Hydrolase 1 Antibody / FOLH1

Folate Hydrolase 1 Antibody / FOLH1 [clone SPM500] (V7739)

  Catalog No Formulation Size Price (USD)  
Image V7739-100UG 0.2 mg/ml in 1X PBS with 0.1 mg/ml BSA (US sourced) and 0.05% sodium azide 100 ug 539
Image
V7739-20UG 0.2 mg/ml in 1X PBS with 0.1 mg/ml BSA (US sourced) and 0.05% sodium azide 20 ug 249
Image
V7739SAF-100UG 1 mg/ml in 1X PBS; BSA free, sodium azide free 100 ug 539
Bulk quote request
Western blot testing of human LNCaP cell lysate with Folate Hydrolase 1 antibody. Predicted molecular weight ~100 kDa.
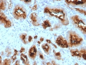
IHC testing of FFPE human prostate cancer with Folate Hydrolase 1 antibody. Required HIER: boil tissue sections in pH 9 10mM Tris with 1mM EDTA for 10-20 min and allow to cool before testing.
SDS-PAGE analysis of purified, BSA-free Folate Hydrolase 1 antibody as confirmation of integrity and purity.
Availability 1-3 business days
Species Reactivity Human
Format Purified
Clonality Monoclonal (mouse origin)
Isotype Mouse IgG2b, kappa
Clone Name SPM500
Purity Protein G affinity chromatography
UniProt Q04609
Localization Cytoplasmic, cell surface
Applications Western Blot : 1-2ug/ml
Immunohistochemistry (FFPE) : 1-2ug/ml
Limitations This Folate Hydrolase 1 antibody is available for research use only.
Review this product on BioCompare and get a $20 Amazon gift card

Related Products

Description

Folate hydrolase 1 (FOLH1), also known as Prostate-specific membrane antigen (PSMA), is a type II transmembrane glycoprotein belonging to the M28 peptidase family. FOLH1 has two enzymatic activities, one as a prostate-specific integral membrane folate hydrolase and the other as a carboxypeptidase In the prostate the protein is up-regulated in cancerous cells and is used as an effective diagnostic and prognostic indicator of prostate cancer.

Application Notes

Optimal dilution of the Folate Hydrolase 1 antibody should be determined by the researcher.

Immunogen

A portion of amino acids 232-433 from the human protein was used as the immunogen for this Folate Hydrolase 1 antibody.

Storage

Store the Folate Hydrolase 1 antibody at 2-8oC (with azide) or aliquot and store at -20oC or colder (without azide).

Cross
Bulk Quote Request Form
Name*:
Organization*:
Email*:
Phone Number*:
Catalog No.*:
Comments and Specifics(amount, formulation, etc.)*:
Validation code: Captchapackage Image


Can't read the image? click here to refresh.
    *required field

Your bulk quote request has been submitted successfully!

Please contact us if you have any questions.