• Tel: 858.663.9055
  • SeparatorEmail: info@nsjbio.com
  • Tel: 858.663.9055
  • Email: info@nsjbio.com
Home >> Antibodies >> Fms-like tyrosine kinase 3 Antibody / FLT3 / CD135

Fms-like tyrosine kinase 3 Antibody / FLT3 / CD135 [clone FLT3/9887] (V5707)

  Catalog No Formulation Size Price (USD)  
Image V5707-100UG 0.2 mg/ml in 1X PBS with 0.1 mg/ml BSA (US sourced), 0.05% sodium azide 100 ug 539
Image
V5707-20UG 0.2 mg/ml in 1X PBS with 0.1 mg/ml BSA (US sourced), 0.05% sodium azide 20 ug 249
Image
V5707SAF-100UG 1 mg/ml in 1X PBS; BSA free, sodium azide free 100 ug 539
Bulk quote request
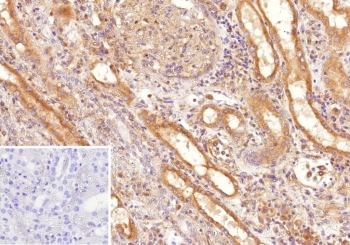
IHC staining of FFPE human kidney tissue with Fms-like tyrosine kinase 3 antibody (clone FLT3/9886). Inset: PBS used in place of primary Ab (secondary Ab negative control). HIER: boil tissue sections in pH 9 10mM Tris with 1mM EDTA for 20 min and allow to cool before testing.
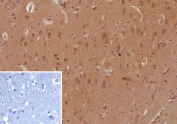
IHC staining of FFPE human brain tissue with Fms-like tyrosine kinase 3 antibody (clone FLT3/9887). Inset: PBS used in place of primary Ab (secondary Ab negative control). HIER: boil tissue sections in pH 9 10mM Tris with 1mM EDTA for 20 min and allow to cool before testing.
SDS-PAGE analysis of purified, BSA-free Fms-like tyrosine kinase 3 antibody (clone FLT3/9887) as confirmation of integrity and purity.
Availability 1-3 business days
Species Reactivity Human
Format Purified
Clonality Monoclonal (mouse origin)
Isotype Mouse IgG1
Clone Name FLT3/9887
Purity Protein G affinity
UniProt P36888
Localization Cytoplasm, Membrane
Applications Immunohistochemistry (FFPE) : 1-2ug/ml
Limitations This Fms-like tyrosine kinase 3 antibody is available for research use only.
Review this product on BioCompare and get a $20 Amazon gift card

Related Products

Description

Tyrosine-protein kinase that acts as a cell-surface receptor for the cytokine FLT3LG and regulates differentiation, proliferation and survival of hematopoietic progenitor cells and of dendritic cells. [UniProt]

Application Notes

Optimal dilution of the Fms-like tyrosine kinase 3 antibody should be determined by the researcher.

Immunogen

A portion of amino acids 500-800 from human FLT3 protein was used as the immunogen for the Fms-like tyrosine kinase 3 antibody.

Storage

Aliquot the Fms-like tyrosine kinase 3 antibody and store frozen at -20oC or colder. Avoid repeated freeze-thaw cycles.

Cross
Bulk Quote Request Form
Name*:
Organization*:
Email*:
Phone Number*:
Catalog No.*:
Comments and Specifics(amount, formulation, etc.)*:
Validation code: Captchapackage Image


Can't read the image? click here to refresh.
    *required field

Your bulk quote request has been submitted successfully!

Please contact us if you have any questions.