• Tel: 858.663.9055
  • SeparatorEmail: info@nsjbio.com
  • Tel: 858.663.9055
  • Email: info@nsjbio.com
Home >> Antibodies >> FMRP Antibody / FMR1

FMRP Antibody / FMR1 (R32195)

  Catalog No Formulation Size Price (USD)  
Image R32195 0.5mg/ml if reconstituted with 0.2ml sterile DI water 100 ug 439
Bulk quote request
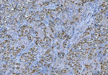
IHC staining of FFPE human testicular seminoma tissue with FMRP antibody. HIER: boil tissue sections in pH8 EDTA for 20 min and allow to cool before testing.
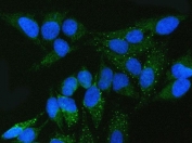
Immunofluorescent staining of FFPE human HeLa cells with FMRP antibody (green) and DAPI nuclear stain (blue). HIER: steam section in pH6 citrate buffer for 20 min.
Western blot testing of 1) human HeLa, 2) human 293T, 3) human Jurkat, 4) human K562, 5) rat brain, 6) rat liver, 7) mouse brain and 8) mouse liver lysate with FMRP antibody. Predicted molecular weight ~71 kDa with multiple isoforms observed at 67-90 kDa.
Availability 1-3 business days
Species Reactivity Human, Mouse, Rat
Format Antigen affinity purified
Clonality Polyclonal (rabbit origin)
Isotype Rabbit IgG
Purity Antigen affinity
Buffer Lyophilized from 1X PBS with 2.5% BSA and 0.025% sodium azide
UniProt Q06787
Applications Western Blot : 0.1-0.5ug/ml
Immunohistochemistry (FFPE) : 2-5ug/ml
Immunofluorescence : 5ug/ml
Limitations This FMRP antibody is available for research use only.
Review this product on BioCompare and get a $20 Amazon gift card

Related Products

Description

FMR1 (fragile X mental retardation 1) is a human gene that codes for a protein called fragile X mental retardation protein, or FMRP. This protein, most commonly found in the brain, is essential for normalcognitive developmentand female reproductive function. Mutations of this gene can lead to fragile X syndrome, mental retardation, premature ovarian failure, autism, Parkinson's disease, developmental delays and other cognitive deficits. The protein encoded by this gene binds RNA and is associated with polysomes. Additionally, the encoded protein may be involved in mRNA trafficking from the nucleus to the cytoplasm. A trinucleotide repeat (CGG) in the 5' UTR is normally found at 6-53 copies, but an expansion to 55-230 repeats is the cause of fragile X syndrome. Expansion of the trinucleotide repeat may also cause one form of premature ovarian failure (POF1). Multiple alternatively spliced transcript variants that encode different protein isoforms and which are located in different cellular locations have been described for this gene.

Application Notes

Optimal dilution of the FMRP antibody should be determined by the researcher.

Immunogen

Amino acids ENYQLVILSINEVTSKRAHMLIDMHFRSLRTKLSLIM of human FMRP were used as the immunogen for the FMRP antibody.

Storage

After reconstitution, the FMRP antibody can be stored for up to one month at 4oC. For long-term, aliquot and store at -20oC. Avoid repeated freezing and thawing.

Cross
Bulk Quote Request Form
Name*:
Organization*:
Email*:
Phone Number*:
Catalog No.*:
Comments and Specifics(amount, formulation, etc.)*:
Validation code: Captchapackage Image


Can't read the image? click here to refresh.
    *required field

Your bulk quote request has been submitted successfully!

Please contact us if you have any questions.