• Tel: 858.663.9055
  • SeparatorEmail: info@nsjbio.com
  • Tel: 858.663.9055
  • Email: info@nsjbio.com
Home >> Antibodies >> FMR1 Antibody

FMR1 Antibody (R35784)

  Catalog No Formulation Size Price (USD)  
Image R35784-100UG 0.5 mg/ml in 1X TBS, pH7.3, with 0.5% BSA (US sourced) and 0.02% sodium azide 100 ug 449
Bulk quote request
Western blot testing of KELLY cell lysate with FMR1 antibody at 0.1ug/ml. Predicted/observed molecular weight: ~71/67-90 kDa.
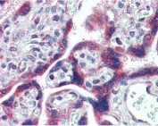
IHC testing of FFPE human placenta tissue with FMR1 antibody at 2.5ug/ml. Required HIER: steamed antigen retrieval with pH6 citrate buffer; AP-staining.
Availability 1-3 business days
Species Reactivity Human
Predicted Reactivity Mouse, Rat, Dog
Format Antigen affinity purified
Clonality Polyclonal (goat origin)
Isotype Goat Ig
Purity Antigen affinity
Gene ID 2332
Applications Western Blot : 0.1-0.5ug/ml
IHC (FFPE) : 2.5ug/ml
ELISA (peptide) LOD : 1:128000
Limitations This FMR1 antibody is available for research use only.
Review this product on BioCompare and get a $20 Amazon gift card

Related Products

Description

Additional name(s) for this target protein: Fragile X mental retardation 1; Fragile X mental retardation protein; FMRP

Application Notes

Optimal dilution of the FMR1 antibody should be determined by the researcher.

Immunogen

Amino acids RTGKDRNQKKEKPD were used as the immunogen for this FMR1 antibody.

Storage

Aliquot and store the FMR1 antibody at -20oC.

Cross
Bulk Quote Request Form
Name*:
Organization*:
Email*:
Phone Number*:
Catalog No.*:
Comments and Specifics(amount, formulation, etc.)*:
Validation code: Captchapackage Image


Can't read the image? click here to refresh.
    *required field

Your bulk quote request has been submitted successfully!

Please contact us if you have any questions.