• Tel: 858.663.9055
  • SeparatorEmail: info@nsjbio.com
  • Tel: 858.663.9055
  • Email: info@nsjbio.com
Home >> Antibodies >> Flt3 Antibody / CD135

Flt3 Antibody / CD135 (R32824)

  Catalog No Formulation Size Price (USD)  
Image R32824 0.5mg/ml if reconstituted with 0.2ml sterile DI water 100 ug 439
Bulk quote request
Western blot testing of mouse brain lysate with Flt3 antibody at 0.5ug/ml. Predicted molecular weight: ~113 kDa (unmodified), ~130/160 kDa (glycosylated).
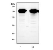
Western blot testing of 1) rat liver and 2) mouse liver tissue lysate with Flt3 antibody at 0.5ug/ml. Predicted molecular weight: ~113 kDa (unmodified), ~130/160 kDa (glycosylated).
Flow cytometry testing of fixed mouse RAW264.7 cells with Flt3 antibody at 1ug/million cells (blocked with goat sera); Red=cells alone, Green=isotype control, Blue= Flt3 antibody.
Availability 1-3 business days
Species Reactivity Mouse, Rat
Format Antigen affinity purified
Clonality Polyclonal (rabbit origin)
Isotype Rabbit IgG
Purity Antigen affinity
Buffer Lyophilized from 1X PBS with 2% Trehalose
UniProt Q00342
Localization Cell membrane, cytoplasm
Applications Western Blot : 0.5-1ug/ml
Flow Cytometry : 1-3ug/million cells
Direct ELISA (mouse Recombinant Protein) : 0.1-0.5ug/ml (BSA-free formulation available)
Limitations This Flt3 antibody is available for research use only.
Review this product on BioCompare and get a $20 Amazon gift card

Related Products

Description

Flt3 (Fms-like tyrosine kinase 3), also known as CD135, is a receptor tyrosine kinase expressed primarily on hematopoietic progenitor cells. It plays a key role in early hematopoiesis by regulating the survival, proliferation, and differentiation of stem and progenitor cells. Flt3 is activated upon binding to its ligand (Flt3L), which triggers downstream signaling pathways including PI3K-AKT, RAS-MAPK, and STAT5, contributing to immune cell development and homeostasis.

Flt3 expression is largely restricted to the hematopoietic system, with highest levels observed in multipotent progenitors, dendritic cell precursors, and certain lymphoid progenitors. Its function in immune regulation and blood cell formation makes it a critical focus in immunology and hematology research. Altered signaling through Flt3 has been studied in the context of abnormal blood cell proliferation and dysregulated immune responses.

The Flt3 antibody is a reliable reagent for detecting Flt3 in applications such as flow cytometry, western blot, and immunohistochemistry. Researchers use the Flt3 antibody from NSJ Bioreagents to evaluate expression patterns in progenitor cell populations, study receptor-mediated signaling events, and investigate the molecular regulation of hematopoietic development. With high specificity and reproducible performance, the Flt3 antibody supports advanced research in stem cell biology, immunology, and hematopoietic signaling networks.

Application Notes

Optimal dilution of the Flt3 antibody should be determined by the researcher.

Immunogen

A recombinant mouse protein corresponding to amino acids E62-E295 was used as the immunogen for the Flt3 antibody.

Storage

After reconstitution, the Flt3 antibody can be stored for up to one month at 4oC. For long-term, aliquot and store at -20oC. Avoid repeated freezing and thawing.

Cross
Bulk Quote Request Form
Name*:
Organization*:
Email*:
Phone Number*:
Catalog No.*:
Comments and Specifics(amount, formulation, etc.)*:
Validation code: Captchapackage Image


Can't read the image? click here to refresh.
    *required field

Your bulk quote request has been submitted successfully!

Please contact us if you have any questions.