• Tel: 858.663.9055
  • SeparatorEmail: info@nsjbio.com
  • Tel: 858.663.9055
  • Email: info@nsjbio.com
Home >> Antibodies >> Flotillin 2 Antibody

Flotillin 2 Antibody (R32227)

  Catalog No Formulation Size Price (USD)  
Image R32227 0.5mg/ml if reconstituted with 0.2ml sterile DI water 100 ug 439
Bulk quote request
Immunofluorescent staining of FFPE human A431 cells with Flotillin 2 antibody (red) and DAPI nuclear stain (blue). HIER: steam section in pH6 citrate buffer for 20 min.
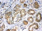
IHC testing of FFPE human breast cancer tissue with Flotillin-2 antibody. HIER: Boil the paraffin sections in pH 6, 10mM citrate buffer for 20 minutes and allow to cool prior to staining.
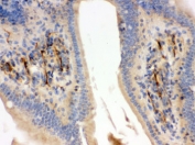
IHC testing of FFPE mouse intestine with Flotillin-2 antibody. HIER: Boil the paraffin sections in pH 6, 10mM citrate buffer for 20 minutes and allow to cool prior to staining.
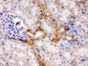
IHC testing of FFPE rat kidney with Flotillin-2 antibody. HIER: Boil the paraffin sections in pH 6, 10mM citrate buffer for 20 minutes and allow to cool prior to staining.
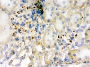
IHC testing of frozen mouse kidney tissue with Flotillin 2 antibody.
IHC testing of frozen rat kidney tissue with Flotillin 2 antibody.
IHC testing of frozen rat small intestine tissue with Flotillin 2 antibody.
Western blot testing of 1) rat liver, 2) rat lung, 3) mouse liver, 4) mouse lung, 5) mouse testis, 6) human placenta, 7) A375, 8) HeLa, 9) 22RV1 and 10) mouse NIH3T3 lysate with Flotillin 2 antibody. Predicted molecular weight: ~47 kDa.
Flow cytometry testing of human U-2 OS cells with Flotillin 2 antibody at 1ug/million cells (blocked with goat sera); Red=cells alone, Green=isotype control, Blue= Flotillin 2 antibody.
Flow cytometry testing of rat RH35 cells with Flotillin 2 antibody at 1ug/million cells (blocked with goat sera); Red=cells alone, Green=isotype control, Blue= Flotillin 2 antibody.
Availability 1-3 business days
Species Reactivity Human, Mouse, Rat
Format Antigen affinity purified
Clonality Polyclonal (rabbit origin)
Isotype Rabbit IgG
Purity Antigen affinity
Buffer Lyophilized from 1X PBS with 2.5% BSA, 0.025% sodium azide
UniProt Q14254
Localization Cytoplasmic, membrane
Applications Western Blot : 0.1-0.5ug/ml
Immunohistochemistry (FFPE) : 0.5-1ug/ml
Immunohistochemistry (Frozen) : 0.5-1ug/ml
Immunofluorescence (FFPE) : 2-4ug/ml
Flow Cytometry : 1-3ug/million cells
Limitations This Flotillin 2 antibody is available for research use only.
Review this product on BioCompare and get a $20 Amazon gift card

Related Products

Description

FLOT2 (Flotillin 2), also known as ESA1 or M17S1, may act as a scaffolding protein within caveolar membranes, functionally participating in formation of caveolae or caveolae-like vesicles. May be involved in epidermal cell adhesion and epidermal structure and function. [UniProt]

Application Notes

Optimal dilution of the Flotillin 2 antibody should be determined by the researcher.

Immunogen

Amino acids 169-344 of human Flotillin 2 were used as the immunogen for the Flotillin 2 antibody.

Storage

After reconstitution, the Flotillin 2 antibody can be stored for up to one month at 4oC. For long-term, aliquot and store at -20oC. Avoid repeated freezing and thawing.

Cross
Bulk Quote Request Form
Name*:
Organization*:
Email*:
Phone Number*:
Catalog No.*:
Comments and Specifics(amount, formulation, etc.)*:
Validation code: Captchapackage Image


Can't read the image? click here to refresh.
    *required field

Your bulk quote request has been submitted successfully!

Please contact us if you have any questions.