• Tel: 858.663.9055
  • SeparatorEmail: info@nsjbio.com
  • Tel: 858.663.9055
  • Email: info@nsjbio.com
Home >> Antibodies >> Flotillin 1 Antibody / FLOT1

Flotillin 1 Antibody / FLOT1 (R31142)

  Catalog No Formulation Size Price (USD)  
Image R31142 0.5mg/ml if reconstituted with 0.2ml sterile DI water 100 ug 439
Bulk quote request
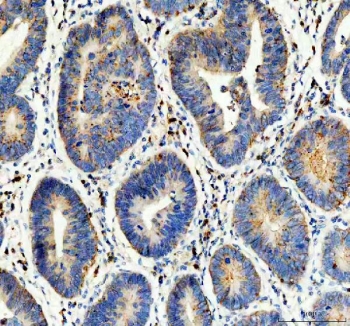
IHC staining of FFPE human stomach cancer tissue with Flotillin 1 antibody. HIER: boil tissue sections in pH8 EDTA for 20 min and allow to cool before testing.
IHC staining of FFPE mouse brain tissue with Flotillin 1 antibody. HIER: boil tissue sections in pH8 EDTA for 20 min and allow to cool before testing.
IHC staining of FFPE mouse brain tissue with Flotillin 1 antibody. HIER: boil tissue sections in pH8 EDTA for 20 min and allow to cool before testing.
IHC staining of FFPE rat brain tissue with Flotillin 1 antibody. HIER: boil tissue sections in pH8 EDTA for 20 min and allow to cool before testing.
Western blot testing of 1) human A431, 2) human U-251, 3) human PC-3, 4) human HaCaT, 5) rat brain, 6) rat skin, 7) mouse brain and 8) mouse skin tissue lysate with Flotillin 1 antibody. Expected molecular weight ~49 kDa.
Immunoprecipitation of Flotillin 1 protein from 500ug of human A431 whole cell lysate with 2ug of Flotillin 1 antibody.
Availability 1-3 business days
Species Reactivity Human, Mouse, Rat
Format Antigen affinity purified
Clonality Polyclonal (rabbit origin)
Isotype Rabbit IgG
Purity Antigen affinity
Buffer Lyophilized from 1X PBS with 2% Trehalose
UniProt O75955
Applications Western Blot : 0.5-1ug/ml
Immunohistochemistry : 2-5ug/ml
Immunoprecipitation : 2ug/500ug of lysate
Limitations This Flotillin 1 antibody is available for research use only.
Review this product on BioCompare and get a $20 Amazon gift card

Related Products

Description

Flotillin 1 is a protein that in humans is encoded by the FLOT1 gene. The International Radiation Hybrid Mapping Consortium mapped the gene to chromosome 6. Bickel et al.(1997) found that mouse Flot1 behaves as a resident integral membrane protein of caveolae. It consistently copurified with Flot2 and with caveolin-1 in the purification of caveolin-rich membranes. Hazarika et al.(1999) found that stable transfection of Flot1, which they called ESA/flotillin-2, in COS-1 cells induced filopodia formation and changed the epithelial morphology to that of neuronal cells. Santamaria et al.(2005) found that prostate tumor overexpressed gene-1 interacted with Flotillin1 in detergent-insoluble membrane fractions. Flotillin1 colocalized with PTOV1 at the plasma membrane and in the nucleus, and it entered the nucleus concomitant with PTOV1 shortly before initiation of S phase.

Application Notes

The stated application concentrations are suggested starting amounts. Titration of the Flotillin 1 antibody may be required due to differences in protocols and secondary/substrate sensitivity.

Immunogen

An amino acid sequence from the middle region of human FLOT1 (KKAAYDIEVNTRRAQA) was used as the immunogen for this Flotillin 1 antibody.

Storage

After reconstitution, the Flotillin 1 antibody can be stored for up to one month at 4oC. For long-term, aliquot and store at -20oC. Avoid repeated freezing and thawing.

Cross
Bulk Quote Request Form
Name*:
Organization*:
Email*:
Phone Number*:
Catalog No.*:
Comments and Specifics(amount, formulation, etc.)*:
Validation code: Captchapackage Image


Can't read the image? click here to refresh.
    *required field

Your bulk quote request has been submitted successfully!

Please contact us if you have any questions.