• Tel: 858.663.9055
  • SeparatorEmail: info@nsjbio.com
  • Tel: 858.663.9055
  • Email: info@nsjbio.com
Home >> Antibodies >> FLOT2 Antibody / Flotillin 2

FLOT2 Antibody / Flotillin 2 [clone 4D8A3] (RQ7126)

  Catalog No Formulation Size Price (USD)  
Image RQ7126 0.5mg/ml if reconstituted with 0.2ml sterile DI water 100 ug 439
Bulk quote request
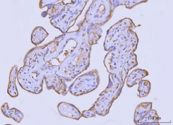
IHC staining of FFPE human placental tissue with FLOT2 antibody. HIER: boil tissue sections in pH8 EDTA for 20 min and allow to cool before testing.
Immunofluorescent staining of FFPE human SiHa cells with FLOT2 antibody (red) and DAPI nuclear stain (blue). HIER: steam section in pH6 citrate buffer for 20 min.
Western blot testing of 1) human 293T, 2) HeLa, 3) A375, 4) A549, 5) rat brain, 6) mouse brain and 7) mouse lung tissue lysate with FLOT2 antibody. Predicted molecular weight: ~47 kDa.
Availability 1-3 business days
Species Reactivity Human, Mouse, Rat
Format Antigen affinity purified
Clonality Monoclonal (mouse origin)
Isotype Mouse IgG2b
Clone Name 4D8A3
Purity Antigen affinity purified
Buffer Lyophilized from 1X PBS with 2% Trehalose
UniProt Q14254
Localization Cytoplasmic, membrane
Applications Western Blot : 0.5-1ug/ml
Immunohistochemistry (FFPE) : 2-5ug/ml
Immunofluorescence : 5ug/ml
Limitations This FLOT2 antibody is available for research use only.
Review this product on BioCompare and get a $20 Amazon gift card

Related Products

  • Applications : WB, IHC-P, ELISA (peptide)
    Reactivity : Human
    Pred. Reactivity : Cow, Dog
  • Applications : WB, IHC-P, IHC-F, IF, FACS
    Reactivity : Human, Mouse, Rat

Description

FLOT2 (Flotillin 2), also known as ESA1 or M17S1, is a protein that in humans is encoded by the FLOT2 gene. Schroeder et al. (1991) isolated a cDNA for an epidermal surface antigen believed to be involved in epidermal cell adhesion. By analysis of a somatic cell hybrid panel and in situ hybridization using the ESA cDNA, the gene was mapped to 17q11-q12 in the region containing the NF1 gene. Bickel et al. (1997) found that mouse Flot2 consistently copurifies with Flot1 and with caveolin-1 in the purification of caveolin-rich membranes. Using a quantitative proteomic analysis of cultured mouse neuronal stem cells, Li et al. (2012) found that palmitoylation and oligomerization of flotillin-2 was abolished in homozygous Dhhc5 mutant neuronal stem cells. The absolute amount of flotillin-2 was not changed in Dhhc5 mutant neurons.

Application Notes

Optimal dilution of the FLOT2 antibody should be determined by the researcher.

Immunogen

Recombinant human protein (amino acids K169-K344) was used as the immunogen for the FLOT2 antibody.

Storage

After reconstitution, the FLOT2 antibody can be stored for up to one month at 4oC. For long-term, aliquot and store at -20oC. Avoid repeated freezing and thawing.

Cross
Bulk Quote Request Form
Name*:
Organization*:
Email*:
Phone Number*:
Catalog No.*:
Comments and Specifics(amount, formulation, etc.)*:
Validation code: Captchapackage Image


Can't read the image? click here to refresh.
    *required field

Your bulk quote request has been submitted successfully!

Please contact us if you have any questions.