• Tel: 858.663.9055
  • SeparatorEmail: info@nsjbio.com
  • Tel: 858.663.9055
  • Email: info@nsjbio.com
Home >> Antibodies >> FLOT1 Antibody / Flotillin 1

FLOT1 Antibody / Flotillin 1 [clone BHB-8] (RQ5346)

  Catalog No Formulation Size Price (USD)  
Image RQ5346 Antibody in PBS with 0.02% sodium azide, 50% glycerol and 0.4-0.5mg/ml BSA 100 ul 439
Microvalidated Rab Mono Image
Bulk quote request
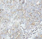
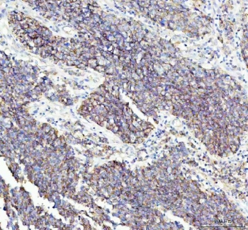
IHC staining of FFPE human lung squamous cell carcinoma tissue with FLOT1 antibody. HIER: boil tissue sections in pH8 EDTA for 10-20 min and allow to cool before testing.
IHC staining of FFPE human liver cancer tissue with FLOT1 antibody. HIER: boil tissue sections in pH8 EDTA for 10-20 min and allow to cool before testing.
IHC staining of FFPE human breast cancer tissue with FLOT1 antibody. HIER: boil tissue sections in pH8 EDTA for 10-20 min and allow to cool before testing.
Western blot testing of 1) human U-2 OS 2) human 293T, 3) human A431, 4) human PC-3, 5) rat brain, 6) rat lung, 7) mouse brain and 8) mouse lung tissue lysate with FLOT1 antibody. Predicted molecular weight ~49 kDa.
Availability 1-2 weeks
Species Reactivity Human, Mouse, Rat
Format Purified
Clonality Rabbit Monoclonal
Isotype Rabbit IgG
Clone Name BHB-8
Purity Affinity purified
UniProt O75955
Localization Cell membrane, cytoplasm
Applications Western Blot : 1:500-1:2000
Immunohistochemistry (FFPE) : 1:50-1:200
Limitations This FLOT1 antibody is available for research use only.
Review this product on BioCompare and get a $20 Amazon gift card

Related Products

Description

The FLOT1 gene encodes an protein that localizes to the caveolae, which are small domains on the inner cell membranes. This protein plays a role in vesicle trafficking and cell morphology. Alternative splicing results in multiple transcript variants. [RefSeq]

Application Notes

Optimal dilution of the FLOT1 antibody should be determined by the researcher.

Immunogen

A synthetic peptide specific to human Flotillin 1 was used as the immunogen for the FLOT1 antibody.

Storage

Store the FLOT1 antibody at -20oC.

Cross
Bulk Quote Request Form
Name*:
Organization*:
Email*:
Phone Number*:
Catalog No.*:
Comments and Specifics(amount, formulation, etc.)*:
Validation code: Captchapackage Image


Can't read the image? click here to refresh.
    *required field

Your bulk quote request has been submitted successfully!

Please contact us if you have any questions.