• Tel: 858.663.9055
  • SeparatorEmail: info@nsjbio.com
  • Tel: 858.663.9055
  • Email: info@nsjbio.com
Home >> Antibodies >> FLI1 Antibody

FLI1 Antibody (R31300)

  Catalog No Formulation Size Price (USD)  
Image R31300 0.5mg/ml if reconstituted with 0.2ml sterile DI water 100 ug 439
Bulk quote request
Western blot testing of FLI1 antibody and Lane 1: Jurkat; 2: Raji cell lysate. Predicted/observed molecular weight: ~51kDa.
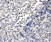
IHC-P: FLI1 antibody testing of human tonsil tissue. HIER: steamed with pH6 citrate buffer.
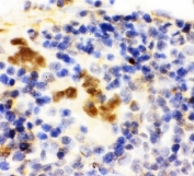
IHC-P: FLI1 antibody testing of rat spleen tissue. HIER: steamed with pH6 citrate buffer.
Availability 1-3 business days
Species Reactivity Human, Mouse, Rat
Format Antigen affinity purified
Clonality Polyclonal (rabbit origin)
Isotype Rabbit IgG
Purity Antigen affinity
Buffer Lyophilized from 1X PBS with 2.5% BSA and 0.025% sodium azide/thimerosal
UniProt Q01543
Applications Western Blot : 0.5-1ug/ml
IHC (FFPE) : 0.5-1ug/ml
Limitations This FLI1 antibody is available for research use only.
Review this product on BioCompare and get a $20 Amazon gift card

Related Products

Description

Friend leukemia integration 1, also known as Transcription factor ERGB, is a protein that in humans is encoded by the human FLI1 gene. The protooncogene encodes a member of the ETS family of winged helix-turn-helix transcription factors. This gene is mapped to 11q24.3. Fli1 is activated through retroviral insertional mutagenesis in 90% of F-MuLV-induced erythroleukemias. The constitutive activation of fli-1 in erythroblasts leads to a dramatic shift in the Epo/Epo-R signal transduction pathway, blocking erythroid differentiation, activating the Ras pathway, and resulting in massive Epo-independent proliferation of erythroblasts. These results suggest that Fli1 overexpression in erythroblasts alters their responsiveness to Epo and triggers abnormal proliferation by switching the signaling event(s) associated with terminal differentiation to proliferation.

Application Notes

The stated application concentrations are suggested starting amounts. Titration of the FLI1 antibody may be required due to differences in protocols and secondary/substrate sensitivity.

Immunogen

An amino acid sequence from the N-terminus of human Friend leukemia integration 1 (QQEWINQPVRVNVKREYDHM) was used as the immunogen for this FLI1 antibody (100% homologous in human, mouse and rat).

Storage

After reconstitution, the FLI1 antibody can be stored for up to one month at 4oC. For long-term, aliquot and store at -20oC. Avoid repeated freezing and thawing.

Cross
Bulk Quote Request Form
Name*:
Organization*:
Email*:
Phone Number*:
Catalog No.*:
Comments and Specifics(amount, formulation, etc.)*:
Validation code: Captchapackage Image


Can't read the image? click here to refresh.
    *required field

Your bulk quote request has been submitted successfully!

Please contact us if you have any questions.