• Tel: 858.663.9055
  • SeparatorEmail: info@nsjbio.com
  • Tel: 858.663.9055
  • Email: info@nsjbio.com
Home >> Antibodies >> Fibroblast Growth Factor Receptor 3 Antibody / FGFR3

Fibroblast Growth Factor Receptor 3 Antibody / FGFR3 (RQ6767)

  Catalog No Formulation Size Price (USD)  
Image RQ6767 0.5mg/ml if reconstituted with 0.2ml sterile DI water 100 ug 439
Bulk quote request
Immunofluorescent staining of FFPE human Caco-2 cells with Fibroblast Growth Factor Receptor 3 antibody (green) and DAPI nuclear stain (blue). HIER: steam section in pH6 citrate buffer for 20 min.
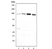
Western blot testing of human 1) A549, 2) HeLa, 3) HepG2 and 4) HEK293 cell lysate with Fibroblast Growth Factor Receptor 3 antibody. Predicted molecular weight: 87-135 kDa depending on glycosylation level.
Flow cytometry testing of human 293T cells with Fibroblast Growth Factor Receptor 3 antibody at 1ug/million cells (blocked with goat sera); Red=cells alone, Green=isotype control, Blue= Fibroblast Growth Factor Receptor 3 antibody.
Availability 1-3 business days
Species Reactivity Human
Format Antigen affinity purified
Clonality Polyclonal (rabbit origin)
Isotype Rabbit IgG
Purity Antigen affinity purified
Buffer Lyophilized from 1X PBS with 2% Trehalose
UniProt P22607
Localization Cytoplasmic, secreted
Applications Western Blot : 1-2ug/ml
Immunofluorescence (FFPE) : 5ug/ml
Flow Cytometry : 1-3ug/million cells
Limitations This Fibroblast Growth Factor Receptor 3 antibody is available for research use only.
Review this product on BioCompare and get a $20 Amazon gift card

Related Products

Description

Fibroblast growth factor receptor 3, also known as CD333, is a protein that in humans is encoded by the FGFR3 gene. This gene encodes a member of the fibroblast growth factor receptor (FGFR) family, with its amino acid sequence being highly conserved between members and among divergent species. The FGFR3 gene is mapped to the HD region on chromosome 4p16.3. The extracellular portion of the protein interacts with fibroblast growth factors, setting in motion a cascade of downstream signals, ultimately influencing mitogenesis and differentiation. This particular family member binds acidic and basic fibroblast growth hormone and plays a role in bone development and maintenance. Mutations in this gene lead to craniosynostosis and multiple types of skeletal dysplasia.

Application Notes

Optimal dilution of the Fibroblast Growth Factor Receptor 3 antibody should be determined by the researcher.

Immunogen

Amino acids EGPTLANVSELELPADPKWELSRARLTLGK from the human protein were used as the immunogen for the Fibroblast Growth Factor Receptor 3 antibody.

Storage

After reconstitution, the Fibroblast Growth Factor Receptor 3 antibody can be stored for up to one month at 4oC. For long-term, aliquot and store at -20oC. Avoid repeated freezing and thawing.

Cross
Bulk Quote Request Form
Name*:
Organization*:
Email*:
Phone Number*:
Catalog No.*:
Comments and Specifics(amount, formulation, etc.)*:
Validation code: Captchapackage Image


Can't read the image? click here to refresh.
    *required field

Your bulk quote request has been submitted successfully!

Please contact us if you have any questions.