- Tel: 858.663.9055
- 
									 Email: info@nsjbio.com Email: info@nsjbio.com
- Tel: 858.663.9055
- Email: info@nsjbio.com
 Email: info@nsjbio.com
Email: info@nsjbio.com
								Related Products
| 
 | 
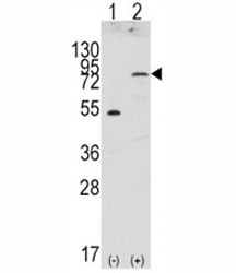
FGFR4 is a member of the fibroblast growth factor receptor family, where amino acid sequence is highly conserved between members and throughout evolution. FGFR family members differ from one another in their ligand affinities and tissue distribution. A full-length representative protein would consist of an extracellular region, composed of three immunoglobulin-like domains, a single hydrophobic membrane-spanning segment and a cytoplasmic tyrosine kinase domain. The extracellular portion of the protein interacts with fibroblast growth factors, setting in motion a cascade of downstream signals, ultimately influencing mitogenesis and differentiation. Although alternative splicing has been observed, there is no evidence that the C-terminal half of the IgIII domain of this protein varies between three alternate forms, as indicated for family members 1-3. This particular family member preferentially binds acidic fibroblast growth factor and, although its specific function is unknown, it is overexpressed in gynecological tumor samples, suggesting a role in breast and ovarian tumorigenesis.
Titration of the FGFR4 antibody may be required due to differences in protocols and secondary/substrate sensitivity.
This FGFR4 antibody was produced from rabbits immunized with recombinant humanFGF Receptor 4 protein.
Aliquot the FGFR4 antibody and store frozen at -20oC or colder. Avoid repeated freeze-thaw cycles.
 
Your bulk quote request has been submitted successfully!
Please contact us if you have any questions.