• Tel: 858.663.9055
  • SeparatorEmail: info@nsjbio.com
  • Tel: 858.663.9055
  • Email: info@nsjbio.com
Home >> Antibodies >> FGF21 Antibody

FGF21 Antibody [clone AG-6] (RQ4485)

  Catalog No Formulation Size Price (USD)  
Image RQ4485 Antibody in PBS with 0.02% sodium azide, 50% glycerol and 0.4-0.5mg/ml BSA 100 ul 439
Microvalidated Rab Mono Image
Bulk quote request
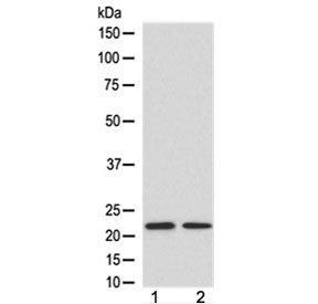
Western blot testing of 1) human HeLa and 2) mouse spleen lysate with FGF21 antibody at 0.5ug/ml. Predicted molecular weight ~21 kDa.
Availability 1-2 weeks
Species Reactivity Human, Mouse
Format Purified
Clonality Rabbit Monoclonal
Isotype Rabbit IgG
Clone Name AG-6
Purity Protein A affinity
UniProt Q9NSA1
Localization Secreted
Applications Western Blot : 1:500-1:2000
Limitations This FGF21 antibody is available for research use only.
Review this product on BioCompare and get a $20 Amazon gift card

Related Products

Description

Stimulates glucose uptake in differentiated adipocytes via the induction of glucose transporter SLC2A1/GLUT1 expression (but not SLC2A4/GLUT4 expression). Activity requires the presence of KLB. [UniProt]

Application Notes

Optimal dilution of the FGF21 antibody should be determined by the researcher.

Immunogen

A synthetic peptide from human FGF21 was used as the immunogen for the FGF21 antibody.

Storage

Store the FGF21 antibody at -20oC.

Cross
Bulk Quote Request Form
Name*:
Organization*:
Email*:
Phone Number*:
Catalog No.*:
Comments and Specifics(amount, formulation, etc.)*:
Validation code: Captchapackage Image


Can't read the image? click here to refresh.
    *required field

Your bulk quote request has been submitted successfully!

Please contact us if you have any questions.