- Tel: 858.663.9055
-
Email: info@nsjbio.com
- Tel: 858.663.9055
- Email: info@nsjbio.com
Related Products
|
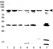
FES (feline sarcoma oncogene) is an enzyme that in humans is encoded by the FES gene. This gene encodes the human cellular counterpart of a feline sarcoma retrovirus protein with transforming capabilities. Non-onc intervening sequences were present in the human counterpart. The gene product has tyrosine-specific protein kinase activity and that activity is required for maintenance of cellular transformation. Its chromosomal location has linked it to a specific translocation event identified in patients with acute promyelocytic leukemia, but it is also involved in normal hematopoiesis. A truncated transcript has been identified that is generated utilizing a start site in one of the far downstream exons but a protein product associated with this transcript has not been identified.
Optimal dilution of the Fes/Fps antibody should be determined by the researcher.
Recombinant human protein (amino acids H13-R822) was used as the immunogen for the Fes/Fps antibody.
After reconstitution, the Fes/Fps antibody can be stored for up to one month at 4oC. For long-term, aliquot and store at -20oC. Avoid repeated freezing and thawing.
Your bulk quote request has been submitted successfully!
Please contact us if you have any questions.