• Tel: 858.663.9055
  • SeparatorEmail: info@nsjbio.com
  • Tel: 858.663.9055
  • Email: info@nsjbio.com
Home >> Antibodies >> FES Antibody

FES Antibody (RQ4085)

  Catalog No Formulation Size Price (USD)  
Image RQ4085 0.5mg/ml if reconstituted with 0.2ml sterile DI water 100 ug 439
Bulk quote request
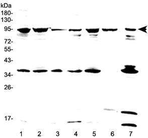
Western blot testing of human 1) HeLa, 2) 293T, 3) SKOV3, 4) A549, 5) MCF7, 6) placenta and 7) PANC-1 lysate with FES antibody at 0.5ug/ml. Predicted molecular weight ~93 kDa.
Availability 1-3 business days
Species Reactivity Human
Format Antigen affinity purified
Clonality Polyclonal (rabbit origin)
Isotype Rabbit IgG
Purity Antigen affinity purified
Buffer Lyophilized from 1X PBS with 2% Trehalose and 0.025% sodium azide
UniProt P07332
Applications Western Blot : 0.5-1ug/ml
Limitations This FES antibody is available for research use only.
Review this product on BioCompare and get a $20 Amazon gift card

Related Products

Description

Feline sarcoma oncogene is an enzyme that in humans is encoded by the FES gene. This gene encodes the human cellular counterpart of a feline sarcoma retrovirus protein with transforming capabilities. Non-onc intervening sequences were present in the human counterpart. The gene product has tyrosine-specific protein kinase activity and that activity is required for maintenance of cellular transformation. Its chromosomal location has linked it to a specific translocation event identified in patients with acute promyelocytic leukemia, but it is also involved in normal hematopoiesis. A truncated transcript has been identified that is generated utilizing a start site in one of the far downstream exons but a protein product associated with this transcript has not been identified.

Application Notes

Optimal dilution of the FES antibody should be determined by the researcher.

Immunogen

Amino acids RQQLRKTYSEQWQQLQQELTKTHSQDIEKLK from the human protein were used as the immunogen for the FES antibody.

Storage

After reconstitution, the FES antibody can be stored for up to one month at 4oC. For long-term, aliquot and store at -20oC. Avoid repeated freezing and thawing.

Cross
Bulk Quote Request Form
Name*:
Organization*:
Email*:
Phone Number*:
Catalog No.*:
Comments and Specifics(amount, formulation, etc.)*:
Validation code: Captchapackage Image


Can't read the image? click here to refresh.
    *required field

Your bulk quote request has been submitted successfully!

Please contact us if you have any questions.