• Tel: 858.663.9055
  • SeparatorEmail: info@nsjbio.com
  • Tel: 858.663.9055
  • Email: info@nsjbio.com
Home >> Antibodies >> FERMT2 Antibody / Kindlin 2 / KIND2

FERMT2 Antibody / Kindlin 2 / KIND2 (RQ7522)

  Catalog No Formulation Size Price (USD)  
Image RQ7522 0.5mg/ml if reconstituted with 0.2ml sterile DI water 100 ug 439
Bulk quote request
IHC staining of FFPE human spleen tissue with FERMT2 antibody. HIER: boil tissue sections in pH8 EDTA for 20 min and allow to cool before testing.
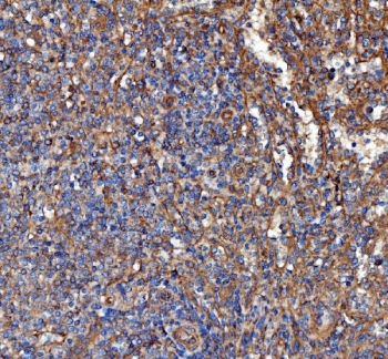
IHC staining of FFPE human liver cancer tissue with FERMT2 antibody. HIER: boil tissue sections in pH8 EDTA for 20 min and allow to cool before testing.
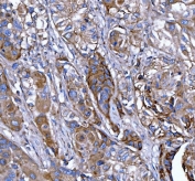
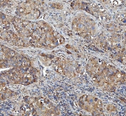
IHC staining of FFPE human breast cancer tissue with FERMT2 antibody. HIER: boil tissue sections in pH8 EDTA for 20 min and allow to cool before testing.
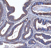
IHC staining of FFPE human colon cancer tissue with FERMT2 antibody. HIER: boil tissue sections in pH8 EDTA for 20 min and allow to cool before testing.
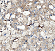
IHC staining of FFPE human renal cancer tissue with FERMT2 antibody. HIER: boil tissue sections in pH8 EDTA for 20 min and allow to cool before testing.
Immunofluorescent staining of FFPE human U-2 OS cells with FERMT2 antibody (green) and DAPI nuclear stain (blue). HIER: steam section in pH6 citrate buffer for 20 min.
Western blot testing of human 1) A549, 2) HT1080 and 3) MCF7 cell lysate with FERMT2 antibody. Predicted molecular weight ~70 kDa.
Flow cytometry testing of human MCF7 cells with FERMT2 antibody at 1ug/million cells (blocked with goat sera); Red=cells alone, Green=isotype control, Blue= Kindlin 2 antibody.
Flow cytometry testing of human SiHa cells with FERMT2 antibody at 1ug/million cells (blocked with goat sera); Red=cells alone, Green=isotype control, Blue= Kindlin 2 antibody.
Availability 1-3 business days
Species Reactivity Human
Format Antigen affinity purified
Clonality Polyclonal (rabbit origin)
Isotype Rabbit IgG
Purity Antigen affinity purified
Buffer Lyophilized from 1X PBS with 2% Trehalose
UniProt Q96AC1
Localization Cytoplasmic, nuclear, cell junctions
Applications Western Blot : 0.5-1ug/ml
Immunohistochemistry (FFPE) : 2-5ug/ml
Immunofluorescence : 5ug/ml
Flow Cytometry : 1-3ug/million cells
Direct ELISA : 0.1-0.5ug/ml
Limitations This FERMT2 antibody is available for research use only.
Review this product on BioCompare and get a $20 Amazon gift card

Related Products

Description

Fermitin family homolog 2 (FERMT2), also known as pleckstrin homology domain-containing family C member 1 (PLEKHC1) or Kindlin-2, is a protein that in humans is encoded by the FERMT2 gene. Enables several functions, including actin binding activity; phosphatidylinositol-3,4,5-trisphosphate binding activity; and type I transforming growth factor beta receptor binding activity. Involved in several processes, including cell surface receptor signaling pathway; positive regulation of cell differentiation; and positive regulation of cellular component biogenesis. Acts upstream of or within cell adhesion and protein localization to cell junction. Located in cytosol; focal adhesion; and nucleoplasm. Is extrinsic component of cytoplasmic side of plasma membrane. Part of adherens junction and plasma membrane. Biomarker of acute myeloid leukemia.

Application Notes

Optimal dilution of the FERMT2 antibody should be determined by the researcher.

Immunogen

E. coli-derived recombinant human protein (amino acids M1-I650) was used as the immunogen for the FERMT2 antibody.

Storage

After reconstitution, the FERMT2 antibody can be stored for up to one month at 4oC. For long-term, aliquot and store at -20oC. Avoid repeated freezing and thawing.

Cross
Bulk Quote Request Form
Name*:
Organization*:
Email*:
Phone Number*:
Catalog No.*:
Comments and Specifics(amount, formulation, etc.)*:
Validation code: Captchapackage Image


Can't read the image? click here to refresh.
    *required field

Your bulk quote request has been submitted successfully!

Please contact us if you have any questions.