• Tel: 858.663.9055
  • SeparatorEmail: info@nsjbio.com
  • Tel: 858.663.9055
  • Email: info@nsjbio.com
Home >> Antibodies >> FER Antibody / FPS/FES-Related tyrosine kinase

FER Antibody / FPS/FES-Related tyrosine kinase (RQ7078)

  Catalog No Formulation Size Price (USD)  
Image RQ7078 0.5mg/ml if reconstituted with 0.2ml sterile DI water 100 ug 439
Bulk quote request
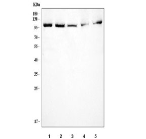
Western blot testing of 1) human MCF7, 2) human HeLa, 3) human A549, 4) rat RH35 and 5) mouse NIH 3T3 cell lysate with FER antibody. Predicted molecular weight: ~95 kDa.
Availability 1-3 business days
Species Reactivity Human, Mouse, Rat
Format Antigen affinity purified
Clonality Polyclonal (rabbit origin)
Isotype Rabbit IgG
Purity Antigen affinity purified
Buffer Lyophilized from 1X PBS with 2% Trehalose
UniProt P16591
Applications Western Blot : 0.5-1ug/ml
Direct ELISA : 0.1-0.5ug/ml
Limitations This FER antibody is available for research use only.
Review this product on BioCompare and get a $20 Amazon gift card

Related Products

Description

FER (FPS/FES-Related tyrosine kinase) also known as TYK3, is an enzyme that in humans is encoded by the FER gene. Fer protein is a member of the FPS/FES family of non-transmembrane receptor tyrosine kinases. By in situ hybridization, Morris et al.(1990) concluded that the FER gene is located at 5q21-q22. Treatment of cells with JMP resulted in the release of FER from the cadherin complex and its accumulation in the integrin complex. The accumulation of FER in the integrin complex and the inhibitory effects of JMP could be reversed with a peptide that mimics the first coiled-coil domain of FER. The results suggested that FER mediates crosstalk between CDH2 and ITGB1. In Fer mutant mice, leukocyte emigration was exaggerated in response to LPS without altering vascular permeability, suggesting that FER has a role in regulating innate immunity.

Application Notes

Optimal dilution of the FER antibody should be determined by the researcher.

Immunogen

Recombinant human protein (amino acids M1-R804) was used as the immunogen for the FER antibody.

Storage

After reconstitution, the FER antibody can be stored for up to one month at 4oC. For long-term, aliquot and store at -20oC. Avoid repeated freezing and thawing.

Cross
Bulk Quote Request Form
Name*:
Organization*:
Email*:
Phone Number*:
Catalog No.*:
Comments and Specifics(amount, formulation, etc.)*:
Validation code: Captchapackage Image


Can't read the image? click here to refresh.
    *required field

Your bulk quote request has been submitted successfully!

Please contact us if you have any questions.