- Tel: 858.663.9055
-
Email: info@nsjbio.com
- Tel: 858.663.9055
- Email: info@nsjbio.com
Related Products
|
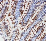
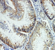
FPS/FES-Related tyrosine kinase, also known as TYK3, is an enzyme that in humans is encoded by the FER gene. FER protein is a member of the FPS/FES family of non-transmembrane receptor tyrosine kinases. By in situ hybridization, Morris et al.(1990) concluded that the gene is located at 5q21-q22. Treatment of cells with JMP resulted in the release of FER from the cadherin complex and its accumulation in the integrin complex. The accumulation of FER in the integrin complex and the inhibitory effects of JMP could be reversed with a peptide that mimics the first coiled-coil domain of FER. The results suggested that the protein mediates crosstalk between CDH2 and ITGB1. In FER mutant mice, leukocyte emigration was exaggerated in response to LPS without altering vascular permeability, suggesting that the protein has a role in regulating innate immunity.
The stated application concentrations are suggested starting amounts. Titration of the FER antibody may be required due to differences in protocols and secondary/substrate sensitivity.
An amino acid sequence from the middle region of human FER (FSNIPQLIDHHYTTKQ) was used as the immunogen for this FER antibody.
After reconstitution, the FER antibody can be stored for up to one month at 4oC. For long-term, aliquot and store at -20oC. Avoid repeated freezing and thawing.
Your bulk quote request has been submitted successfully!
Please contact us if you have any questions.