• Tel: 858.663.9055
  • SeparatorEmail: info@nsjbio.com
  • Tel: 858.663.9055
  • Email: info@nsjbio.com
Home >> Antibodies >> FCGRT Antibody / FcRn

FCGRT Antibody / FcRn (R32263)

  Catalog No Formulation Size Price (USD)  
Image R32263 0.5mg/ml if reconstituted with 0.2ml sterile DI water 100 ug 439
Bulk quote request
Western blot testing of mouse liver lysate with FCGRT antibody. Expected molecular weight ~51 kDa.
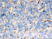
IHC testing of FFPE mouse brain with FCGRT antibody. HIER: Boil the paraffin sections in pH 6, 10mM citrate buffer for 20 minutes and allow to cool prior to staining.
Availability 1-3 business days
Species Reactivity Mouse
Format Antigen affinity purified
Clonality Polyclonal (rabbit origin)
Isotype Rabbit IgG
Purity Antigen affinity
Buffer Lyophilized from 1X PBS with 2.5% BSA and 0.025% sodium azide
UniProt Q61559
Localization Cytoplasmic
Applications Western Blot : 0.1-0.5ug/ml
IHC (FFPE) : 0.5-1ug/ml
ELISA : 0.1-0.5ug/ml (mouse protein tested); request BSA-free format for coating
Limitations This FCGRT antibody is available for research use only.
Review this product on BioCompare and get a $20 Amazon gift card

Related Products

Description

IgG receptor FcRn large subunit p51 is a protein that in humans is encoded by the FCGRT gene. This gene encodes a receptor that binds the Fc region of monomeric immunoglobulin G. The encoded protein transfers immunoglobulin G antibodies from mother to fetus across the placenta. This protein also binds immunoglobulin G to protect the antibody from degradation. In addition, it is postulated that long-range cis inactivation of the FCGRT gene is responsible for hypercatabolism of IgG in myotonic dystrophy. The FCGRT gene is closely situated to the DMPK gene, which is mutant in DM.

Application Notes

Optimal dilution of the FCGRT antibody should be determined by the researcher.

Immunogen

Amino acids 54-291 of mouse FCGRT were used as the immunogen for the FCGRT antibody.

Storage

After reconstitution, the FCGRT antibody can be stored for up to one month at 4oC. For long-term, aliquot and store at -20oC. Avoid repeated freezing and thawing.

Cross
Bulk Quote Request Form
Name*:
Organization*:
Email*:
Phone Number*:
Catalog No.*:
Comments and Specifics(amount, formulation, etc.)*:
Validation code: Captchapackage Image


Can't read the image? click here to refresh.
    *required field

Your bulk quote request has been submitted successfully!

Please contact us if you have any questions.