• Tel: 858.663.9055
  • SeparatorEmail: info@nsjbio.com
  • Tel: 858.663.9055
  • Email: info@nsjbio.com
Home >> Antibodies >> FCGRT Antibody / FcRn

FCGRT Antibody / FcRn [clone FCGRT/2932] (V7770)

  Catalog No Formulation Size Price (USD)  
Image V7770-100UG 0.2 mg/ml in 1X PBS with 0.1 mg/ml BSA (US sourced) and 0.05% sodium azide 100 ug 539
Image
V7770-20UG 0.2 mg/ml in 1X PBS with 0.1 mg/ml BSA (US sourced) and 0.05% sodium azide 20 ug 249
Image
V7770SAF-100UG 1 mg/ml in 1X PBS; BSA free, sodium azide free 100 ug 539
Microvalidated
Bulk quote request
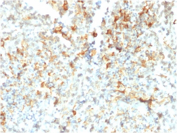
IHC staining of FFPE human testicular cancer with FCGRT antibody (clone FCGRT/2932). HIER: boil tissue sections in pH 9 10mM Tris with 1mM EDTA for 10-20 min and allow to cool before testing.
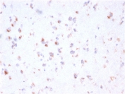
IHC staining of FFPE human cerebellum with FCGRT antibody (clone FCGRT/2932). HIER: boil tissue sections in pH 9 10mM Tris with 1mM EDTA for 10-20 min and allow to cool before testing.
Analysis of HuProt(TM) microarray containing more than 19,000 full-length human proteins using FCGRT antibody (clone FCGRT/2932). These results demonstrate the foremost specificity of the FCGRT/2932 mAb. Z- and S- score: The Z-score represents the strength of a signal that an antibody (in combination with a fluorescently-tagged anti-IgG secondary Ab) produces when binding to a particular protein on the HuProt(TM) array. Z-scores are described in units of standard deviations (SD's) above the mean value of all signals generated on that array. If the targets on the HuProt(TM) are arranged in descending order of the Z-score, the S-score is the difference (also in units of SD's) between the Z-scores. The S-score therefore represents the relative target specificity of an Ab to its intended target.
SDS-PAGE analysis of purified, BSA-free FCGRT antibody (clone FCGRT/2932) as confirmation of integrity and purity.
Availability 1-3 business days
Species Reactivity Human
Format Purified
Clonality Monoclonal (mouse origin)
Isotype Mouse IgG2b, kappa
Clone Name FCGRT/2932
Purity Protein G affinity chromatography
UniProt P55899
Localization Cytoplasmic
Applications Immunohistochemistry (FFPE) : 2-4ug/ml
Limitations This FCGRT antibody is available for research use only.
Review this product on BioCompare and get a $20 Amazon gift card

Related Products

  • Applications : WB, IHC-P
    Reactivity : Human
  • Applications : WB, IHC-P, ELISA (protein)
    Reactivity : Mouse

Description

This gene encodes a receptor that binds the Fc region of monomeric immunoglobulin G. FCGRT is present in the intestinal epithelium of neonates and mediates the selective uptake of immunoglobulin G (IgG) in mothers' milk, thereby helping newborn to acquire passive immunity. FCGRT is comprised of a heavy chain and -2-Microglobulin. FCGRT localizes in endosomes of vascular endothelial cells and selectively recycles IgG to the cell surface, thus protecting IgG from lysosomal degradation.

Application Notes

Optimal dilution of the FCGRT antibody should be determined by the researcher.

Immunogen

A recombinant human partial protein (amino acids 24-215) was used as the immunogen for the FCGRT antibody.

Storage

Store the FCGRT antibody at 2-8oC (with azide) or aliquot and store at -20oC or colder (without azide).

Cross
Bulk Quote Request Form
Name*:
Organization*:
Email*:
Phone Number*:
Catalog No.*:
Comments and Specifics(amount, formulation, etc.)*:
Validation code: Captchapackage Image


Can't read the image? click here to refresh.
    *required field

Your bulk quote request has been submitted successfully!

Please contact us if you have any questions.