• Tel: 858.663.9055
  • SeparatorEmail: info@nsjbio.com
  • Tel: 858.663.9055
  • Email: info@nsjbio.com
Home >> Antibodies >> FBN1 Antibody

FBN1 Antibody [clone FBN1/2191] (V4011)

  Catalog No Formulation Size Price (USD)  
Image V4011-100UG 0.2 mg/ml in 1X PBS with 0.1 mg/ml BSA (US sourced), 0.05% sodium azide 100 ug 539
Image
V4011-20UG 0.2 mg/ml in 1X PBS with 0.1 mg/ml BSA (US sourced), 0.05% sodium azide 20 ug 249
Image
V4011SAF-100UG 1 mg/ml in 1X PBS; BSA free, sodium azide free 100 ug 539
Bulk quote request
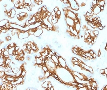
IHC staining of FFPE human placental tissue with FBN1 antibody (clone FBN1/2191). HIER: boil tissue sections in pH 9 10mM Tris with 1mM EDTA for 20 min and allow to cool before testing.
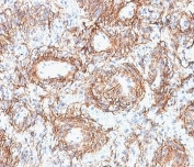
IHC staining of FFPE human kidney tissue with FBN1 antibody (clone FBN1/2191). HIER: boil tissue sections in pH 9 10mM Tris with 1mM EDTA for 20 min and allow to cool before testing.
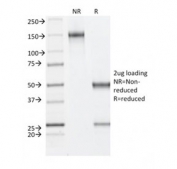
SDS-PAGE analysis of purified, BSA-free FBN1 antibody (clone FBN1/2191) as confirmation of integrity and purity.
Availability 1-3 business days
Species Reactivity Human
Format Purified
Clonality Monoclonal (mouse origin)
Isotype Mouse IgG1, kappa
Clone Name FBN1/2191
Purity Protein A/G affinity
UniProt P35555
Localization Extracellular matrix
Applications Immunohistochemistry (FFPE) : 1-2ug/ml
Limitations This FBN1 antibody is available for research use only.
Review this product on BioCompare and get a $20 Amazon gift card

Related Products

Description

Fibrillin-1 / FBN1 is an extracellular matrix glycoprotein that serves as a structural component of calcium-binding microfibrils. These microfibrils provide force-bearing structural support in elastic and non-elastic connective tissue throughout the body. Mutations in this gene are associated with Marfan syndrome.

Application Notes

Optimal dilution of the FBN1 antibody should be determined by the researcher.

Immunogen

A portion of amino acids 330-476 was used as the immunogen for the FBN1 antibody.

Storage

Aliquot the FBN1 antibody and store frozen at -20oC or colder. Avoid repeated freeze-thaw cycles.

Cross
Bulk Quote Request Form
Name*:
Organization*:
Email*:
Phone Number*:
Catalog No.*:
Comments and Specifics(amount, formulation, etc.)*:
Validation code: Captchapackage Image


Can't read the image? click here to refresh.
    *required field

Your bulk quote request has been submitted successfully!

Please contact us if you have any questions.