• Tel: 858.663.9055
  • SeparatorEmail: info@nsjbio.com
  • Tel: 858.663.9055
  • Email: info@nsjbio.com
Home >> Antibodies >> FasL Antibody / Fas Ligand

FasL Antibody / Fas Ligand [clone FASLG/4453] (V9541)

  Catalog No Formulation Size Price (USD)  
Image V9541-100UG 0.2 mg/ml in 1X PBS with 0.1 mg/ml BSA (US sourced), 0.05% sodium azide 100 ug 539
Image
V9541-20UG 0.2 mg/ml in 1X PBS with 0.1 mg/ml BSA (US sourced), 0.05% sodium azide 20 ug 249
Image
V9541SAF-100UG 1 mg/ml in 1X PBS; BSA free, sodium azide free 100 ug 539
Microvalidated
Bulk quote request
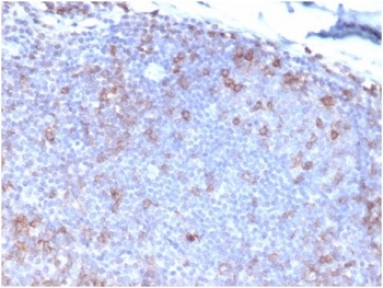
IHC staining of FFPE human tonsil tissue with FasL antibody (clone FASLG/4453). HIER: boil tissue sections in pH 9 10mM Tris with 1mM EDTA for 20 min and allow to cool before testing.
SDS-PAGE analysis of purified, BSA-free FasL antibody (clone FASLG/4453) as confirmation of integrity and purity.
Analysis of HuProt(TM) microarray containing more than 19,000 full-length human proteins using FasL antibody (clone FASLG/4453). These results demonstrate the foremost specificity of the FASLG/4453 mAb. Z- and S- score: The Z-score represents the strength of a signal that an antibody (in combination with a fluorescently-tagged anti-IgG secondary Ab) produces when binding to a particular protein on the HuProt(TM) array. Z-scores are described in units of standard deviations (SD's) above the mean value of all signals generated on that array. If the targets on the HuProt(TM) are arranged in descending order of the Z-score, the S-score is the difference (also in units of SD's) between the Z-scores. The S-score therefore represents the relative target specificity of an Ab to its intended target.
Availability 1-3 business days
Species Reactivity Human
Format Purified
Clonality Monoclonal (mouse origin)
Isotype Mouse IgG1, kappa
Clone Name FASLG/4453
Purity Protein A/G affinity
UniProt P48023
Localization Cell surface, Secreted
Applications Immunohistochemistry (FFPE) : 1-2ug/ml
Limitations This FasL antibody is available for research use only.
Review this product on BioCompare and get a $20 Amazon gift card

Related Products

Description

Cytotoxic T lymphocyte (CTL)-mediated cytotoxicity constitutes an importantcomponent of specific effector mechanisms in immuno-surveillance againstvirus-infected or transformed cells. Two mechanisms appear to account forthis activity, one of which is the perforin-based process. Independently, aFAS-based mechanism involves the transducing molecule FAS (also designated Apo-1) and its ligand (FAS-L). The human FAS protein is a cell surfaceglycoprotein that belongs to a family of receptors that includes CD40, nervegrowth factor receptors and tumor necrosis factor receptors. The FAS antigen is expressed on a broad range of lymphoid cell lines, certain of whichundergo apoptosis in response to treatment with antibody to FAS. Thesefindings strongly imply that targeted cell death is potentially mediated by the intercellular interactions of FAS with its ligand or effectors, and that FASmay be critically involved in CTL-mediated cytotoxicity.

Application Notes

Optimal dilution of the FasL antibody should be determined by the researcher.

Immunogen

A portin of amino acids 107-222 from the human protein was used as the immunogen for the FasL antibody.

Storage

Aliquot the FasL antibody and store frozen at -20oC or colder. Avoid repeated freeze-thaw cycles.

Cross
Bulk Quote Request Form
Name*:
Organization*:
Email*:
Phone Number*:
Catalog No.*:
Comments and Specifics(amount, formulation, etc.)*:
Validation code: Captchapackage Image


Can't read the image? click here to refresh.
    *required field

Your bulk quote request has been submitted successfully!

Please contact us if you have any questions.